Promotional price valid on web orders only. Your contract pricing may differ. Interested in signing up for a dedicated account number?
Learn More
Learn More
Invitrogen™ Phospho-Bcl-2 (Thr56) Polyclonal Antibody

Rabbit Polyclonal Antibody
Supplier: Invitrogen™ PA537489
Description
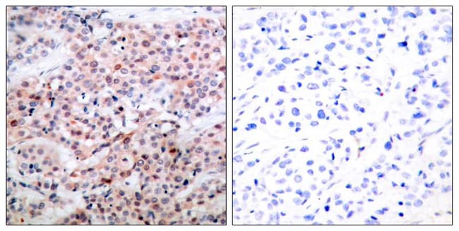
A suggested positive control for IHC is human breast carcinoma.
BCL-2 is a key regulator of apoptosis that functions to either inhibit or promote cell death. The BCL-2 family members are also characterized by dimerizing to further modulate apoptosis. Bag1, for example, has been found to form a heterodimer with BCL-2 resulting in the enhancement of the anti-apoptotic effect of BCL-2. Bax and Bak have been shown to play a critical role in cytochrome c release from mitochondria and thus initiate apoptosis. Bax exerts a pro-apoptotic rather than an anti-apoptotic effect on cells. Constitutive expression of BCL2, such as in the case of translocation of BCL2 to Ig heavy chain locus, is thought to be the cause of follicular lymphoma. In most follicular lymphomas, neoplastic germinal centers express high levels of BCL-2 alpha protein, whereas the normal or hyperplastic germinal centers are negative. Two transcript variants of BCL-2, produced by alternate splicing, differ in their C-terminal ends. The overexpression of BCL-2 has been linked to human cancers such as B-cell lymphoma and prostate cancer.
Specifications
| Phospho-Bcl-2 (Thr56) | |
| Polyclonal | |
| Unconjugated | |
| Bcl2 | |
| apoptosis regulator Bcl-2; AW986256; B cell leukemia/lymphoma 2; B cell lymphoma 2 associated oncogene; B-cell CLL/lymphoma 2; B-cell leukemia/lymphoma 2; Bcl 2; BCL2; bcl-2; BCL2 apoptosis regulator; Bcl-2 protein; BCL2, apoptosis regulator; Bcl2-like protein; C430015F12Rik; D630044D05Rik; D830018M01Rik; OTTHUMP00000163680; PPP1R50; protein phosphatase 1, regulatory subunit 50 | |
| Rabbit | |
| Affinity chromatography | |
| RUO | |
| 596 | |
| -20°C | |
| Liquid |
| Immunohistochemistry (Paraffin) | |
| 1 mg/mL | |
| PBS with 50% glycerol and 0.02% sodium azide; pH 7.4 | |
| P10415 | |
| Bcl2 | |
| Peptide sequence around phosphorylation site of threonine 56(G-H-T(p)-P-H) derived from Human BCL-2. | |
| 100 μL | |
| Primary | |
| Human | |
| Antibody | |
| IgG |
Safety and Handling
WARNING: Cancer - www.P65Warnings.ca.gov
Product Content Correction
Your input is important to us. Please complete this form to provide feedback related to the content on this product.
Product Title
Spot an opportunity for improvement?Share a Content Correction