Learn More
Invitrogen™ Phospho-Bcl-xL (Thr47) Polyclonal Antibody

Description
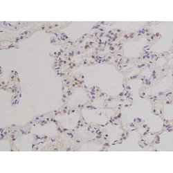
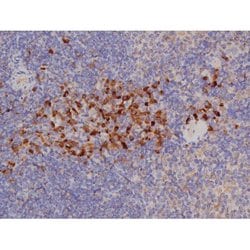
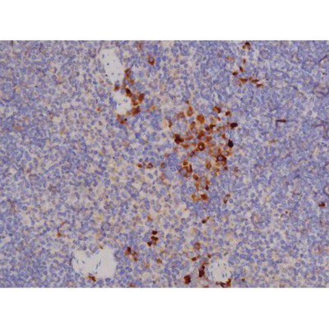
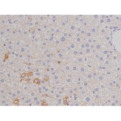
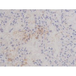
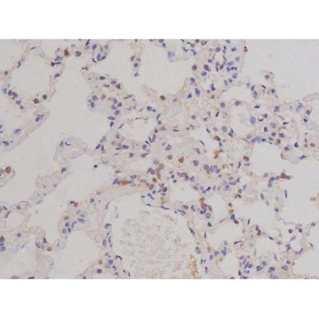
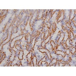
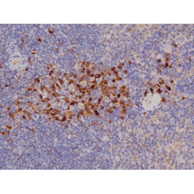
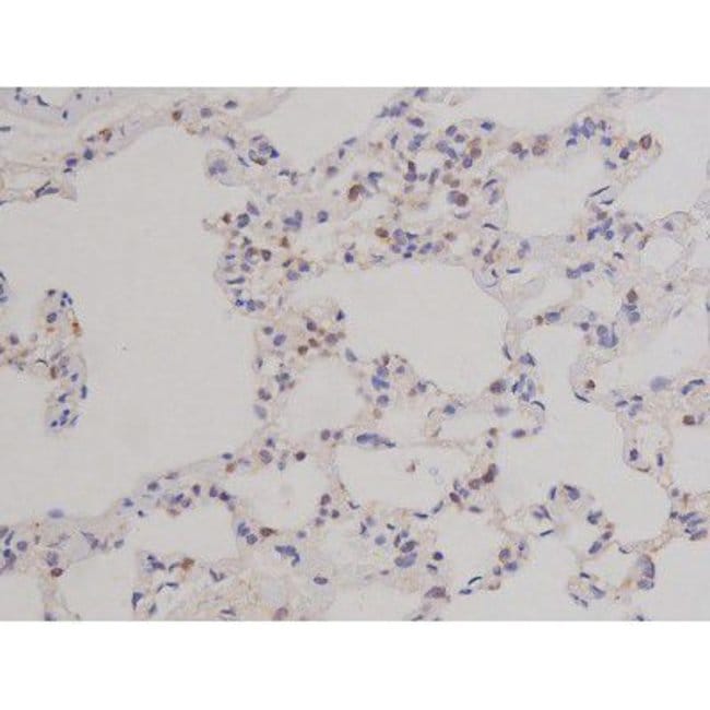
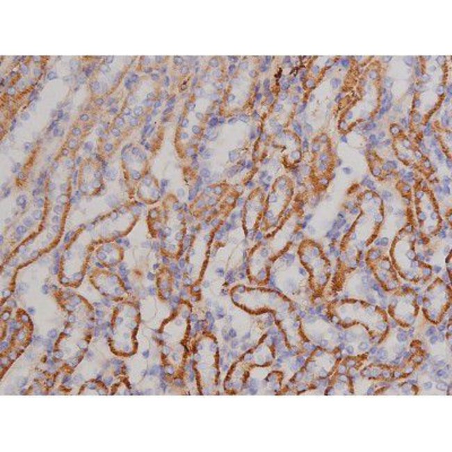
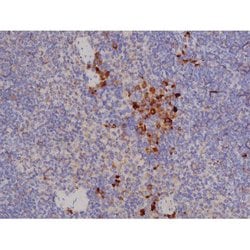
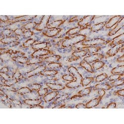
Antibody detects endogenous levels of BCL-XL only when phosphorylated at Threonine 47.
Specifications
Specifications
| Antigen | Phospho-Bcl-xL (Thr47) |
| Applications | Immunohistochemistry (Paraffin), Western Blot, Immunocytochemistry |
| Classification | Polyclonal |
| Concentration | 1 mg/mL |
| Conjugate | Unconjugated |
| Formulation | PBS with 50% glycerol and 0.02% sodium azide; pH 7.4 |
| Gene | BCL2L1 |
| Gene Accession No. | P53563, Q07817, Q64373 |
| Gene Alias | anti-apoptosis regulatory protein; apoptosis regulator Bcl-X; B cell lymphoma 2 like; B cell lymphoma like X; B-cell leukemia/lymphoma x; Bcl(X)L; BCL2 like 1; Bcl2l; BCL2L1; bcl2-L-1; BCL2-like 1; Bcl-2-like protein 1; BCLX; bcl-x; BCLXL; Bcl-XL; BCL-XL/S; BCLXS; bcl-xS; Blc2l; DKFZp781P2092; EGK_02534; OTTHUMP00000030550; OTTHUMP00000030552; OTTHUMP00000030555; OTTHUMP00000030556; OTTHUMP00000030557; PPP1R52; protein phosphatase 1, regulatory subunit 52; RP5-857M17.3 |
| Gene Symbols | BCL2L1 |
| Show More |
Safety and Handling
By clicking Submit, you acknowledge that you may be contacted by Fisher Scientific in regards to the feedback you have provided in this form. We will not share your information for any other purposes. All contact information provided shall also be maintained in accordance with our Privacy Policy.