Learn More
Invitrogen™ Phospho-c-Cbl (Tyr700) Polyclonal Antibody

Description
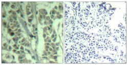
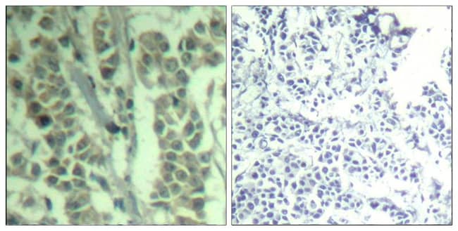
A suggested positive control for Western blot is HT29 cells; suggested positive control for IHC is human breast carcinoma; suggested positive control for ICC/IF is Hela cells.
Specifications
Specifications
| Antigen | Phospho-c-Cbl (Tyr700) |
| Applications | Immunohistochemistry (Paraffin), Western Blot, Immunocytochemistry |
| Classification | Polyclonal |
| Concentration | 1 mg/mL |
| Conjugate | Unconjugated |
| Formulation | PBS with 50% glycerol and 0.02% sodium azide; pH 7.4 |
| Gene | Cbl |
| Gene Accession No. | P22681 |
| Gene Alias | 4732447J05Rik; Cas-Br-M (murine) ecotropic retroviral transforming sequence; Casitas B-lineage lymphoma; casitas B-lineage lymphoma proto-oncogene; CBL; Cbl proto-oncogene; Cbl proto-oncogene, E3 ubiquitin protein ligase; CBL2; Cbl-2; CBL-3; CBLC; c-Cbl; E3 ubiquitin-protein ligase CBL; FRA11B; fragile site, folic acid type, rare, fra(11)(q23.3); NSLL; oncogene CBL2; proto-oncogene c-Cbl; RGD1561386; RING finger protein 55; RING-type E3 ubiquitin transferase CBL; RNF55; RNF57; signal transduction protein CBL |
| Gene Symbols | Cbl |
| Show More |
Safety and Handling
By clicking Submit, you acknowledge that you may be contacted by Fisher Scientific in regards to the feedback you have provided in this form. We will not share your information for any other purposes. All contact information provided shall also be maintained in accordance with our Privacy Policy.