Learn More
Invitrogen™ Phospho-E2F1 (Ser364) Polyclonal Antibody

Description
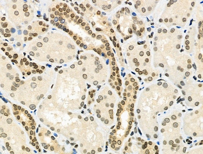
Antibody detects endogenous levels of E2F1 only when phosphorylated at Ser364.
Specifications
Specifications
| Antigen | Phospho-E2F1 (Ser364) |
| Applications | Immunohistochemistry (Paraffin), Western Blot, Immunocytochemistry |
| Classification | Polyclonal |
| Concentration | 1 mg/mL |
| Conjugate | Unconjugated |
| Formulation | PBS with 50% glycerol and 0.02% sodium azide; pH 7.4 |
| Gene | E2F1 |
| Gene Accession No. | O09139, Q01094, Q61501 |
| Gene Alias | E2F transcription factor 1; E2F1; E2F-1; mKIAA4009; PBR3; PRB-binding protein E2F-1; RBAP1; RBAP-1; RBBP3; RBBP-3; RBP3; Retinoblastoma-associated protein 1; retinoblastoma-binding protein 3; Transcription factor E2F1 |
| Gene Symbols | E2F1 |
| Show More |
By clicking Submit, you acknowledge that you may be contacted by Fisher Scientific in regards to the feedback you have provided in this form. We will not share your information for any other purposes. All contact information provided shall also be maintained in accordance with our Privacy Policy.