Learn More
Invitrogen™ Phospho-ERK1/ERK2 (Thr202, Tyr204) Polyclonal Antibody

Description
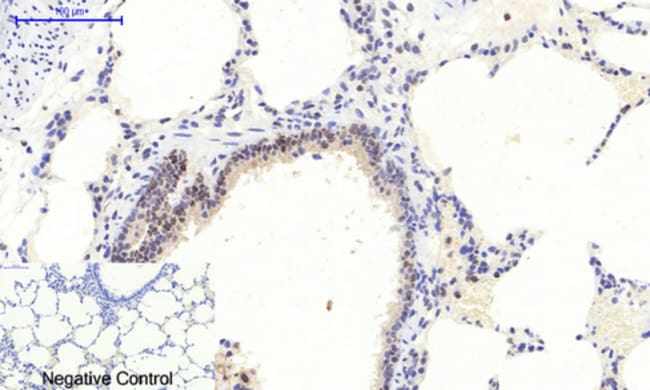
A suggested positive control for Western blot is NIH-3T3 cells.
Specifications
Specifications
| Antigen | Phospho-ERK1/ERK2 (Thr202, Tyr204) |
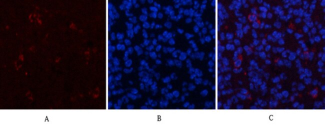
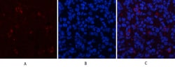
| Applications | Immunohistochemistry (Paraffin), Western Blot, Immunocytochemistry |
| Classification | Polyclonal |
| Concentration | 1 mg/mL |
| Conjugate | Unconjugated |
| Formulation | PBS with 50% glycerol and 0.02% sodium azide; pH 7.4 |
| Gene | MAPK3 |
| Gene Accession No. | P21708, P27361, P28482, P63085, P63086, Q63844 |
| Gene Alias | 12559; 9030612K14Rik; AA407128; AU018647; BcDNA:RE08694; C78273; CG12559; CG12559-PA; CG12559-PC; CG12559-PD; CG12559-PE; CG12559-PG; CG12559-PH; CG12559-PI; CG18732; CT34260; CT39192; DERK; D-ERK; DERK-A; Diphospho-ERK; dm-dpERK; Dmel\CG12559; Dmel_CG12559; DmErk; DmERKA; DmERK-A; DmMAPK; dpERK; dp-ERK; dpERK1; dpMAPK; drosophila ERK; Dsor2; E(sina)7; EC2-1; EK2-1; enhancer of seven in absentia 7; ERK; Erk MAP kinase; Erk/Map kinase; ERK/rolled; Erk1; Erk-1; erk1 erk2; Erk1/2; ERK1b; ERK2; ERK-2; ERKA; ERK-A; ERT1; ERT2; Esrk1; extracellular signal-regulated kinase; extracellular signal-regulated kinase (ERK2); extracellular signal-regulated kinase 1; Extracellular signal-regulated kinase 2; extracellular signal-regulated kinase A; extracellular signal-regulated kinase-1; extracellular signal-regulated kinase-2; extracellular signal-related kinase 1; Extracellular-regulated kinase A; extracellular-signal-regulated kinase 2; Extracellular-signal-related kinase A; EY2-2; fi06b09; GroupII; HS44KDAP; HUMKER1A; I79_009500; I79_018350; insulin-stimulated MAP2 kinase; l(2)41Ac; l(2R)EMS45-39; M phase MAP kinase; MAP kinase; MAP kinase 1; MAP kinase 2; MAP kinase 3; MAP kinase isoform p42; MAP kinase isoform p44; MapK; MAP-k; MAPK 1; MAPK 2; MAPK 3; MAPK1; mapk1.S; mapk1a; mapk1-a; mapk1-b; mapk2; mapk3; MAP-kinase; MBP kinase; Microtubule-associated protein 2 kinase; mitogen activated protein kinase; mitogen activated protein kinase 1; mitogen activated protein kinase 3; mitogen-activated 3; mitogen-activated protein kinase; mitogen-activated protein kinase 1; mitogen-activated protein kinase 1 S homeolog; mitogen-activated protein kinase 1a; mitogen-activated protein kinase 2; Mitogen-activated protein kinase 3; Mitogen-activated protein kinase ERK-A; MNK1; mpk1; Mtap2k; Myelin basic protein kinase; Myelin xP42 protein kinase; p38; p40; p41; p41mapk; p42; p42 MAP Kinase; P42MAPK; p42-MAPK; p44; p44 MAP kinase; p44erk1; p44-ERK1; p44mapk; p44-MAPK; pERK; p-ERK; phospho-ERK; pMapK; pp42/MAP kinase; Prkm1; PRKM2; Prkm3; protein kinase; Protein rolled; protein tyrosine kinase ERK2; RE08694p; RL; rl/ERK; rl/MAPK; rll; rl-PA; rl-PC; rl-PD; rl-PE; rl-PG; rl-PH; rl-PI; roll; rolled; sem; sevenmaker; SR2-1; Su(Raf)2B; wu:fi06b09; XELAEV_18010534mg; xp42; zERK1; zERK2 |
| Gene Symbols | MAPK1, MAPK3 |
| Show More |
Safety and Handling
By clicking Submit, you acknowledge that you may be contacted by Fisher Scientific in regards to the feedback you have provided in this form. We will not share your information for any other purposes. All contact information provided shall also be maintained in accordance with our Privacy Policy.