Promotional price valid on web orders only. Your contract pricing may differ. Interested in signing up for a dedicated account number?
Learn More
Learn More
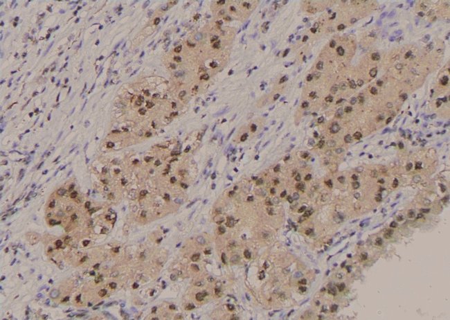
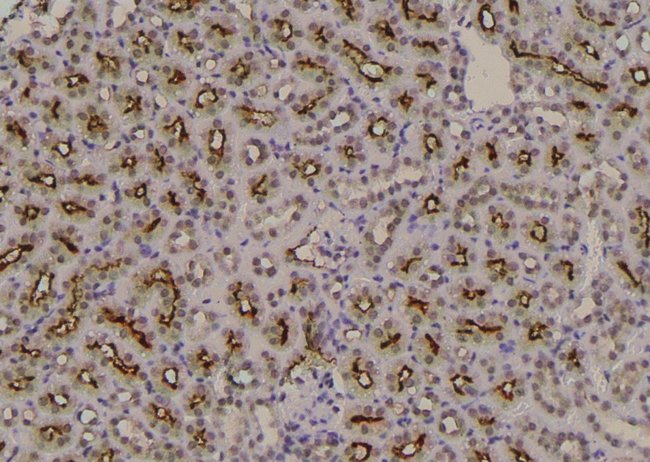
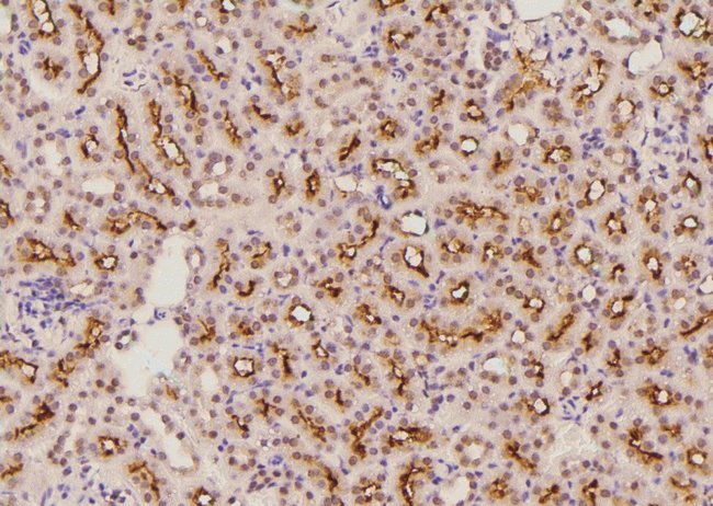
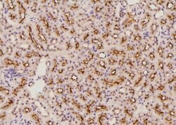
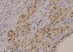
Invitrogen™ Phospho-FOXO3A (Ser284) Polyclonal Antibody

Rabbit Polyclonal Antibody
Supplier: Invitrogen™ PA5105396
Description
Antibody detects endogenous levels of FOXO3A only when phosphorylated at Ser284.
USP48 is a protein containing domains that associate it with the peptidase family C19, also known as family 2 of ubiquitin carboxyl-terminal hydrolases. Family members function as deubiquitinating enzymes, recognizing and hydrolyzing the peptide bond at the C-terminal glycine of ubiquitin. Enzymes in peptidase family C19 are involved in the processing of poly-ubiquitin precursors as well as that of ubiquitinated proteins.
Specifications
| Phospho-FOXO3A (Ser284) | |
| Polyclonal | |
| Unconjugated | |
| FOXO3 | |
| 1110048B16Rik; 2010203A17Rik; AF6q21; AF6q21 protein; C76856; Fkhr2; FKHRL1; FKHRL1P2; forkhead box O3; forkhead box O3a; forkhead box O3A transcription factor; forkhead box protein O3; forkhead homolog (rhabdomyosarcoma) like 1; forkhead in rhabdomyosarcoma-like 1; forkhead protein FKHR2; forkhead, Drosophila, homolog of, in rhabdomyosarcoma-like 1; FOXO2; FOXO3; FOXO-3; FOXO3A | |
| Rabbit | |
| Sequential chromatography | |
| RUO | |
| 2309, 294515, 56484 | |
| -20°C | |
| Liquid |
| Immunohistochemistry (Paraffin), Western Blot, Immunocytochemistry | |
| 1 mg/mL | |
| PBS with 50% glycerol and 0.02% sodium azide; pH 7.4 | |
| O43524, Q9WVH4 | |
| FOXO3 | |
| A synthesized peptide derived from human FOXO3(Accession O43524), corresponding to amino acid residues around phosphorylated Ser284. | |
| 100 μL | |
| Primary | |
| Human, Mouse, Rat | |
| Antibody | |
| IgG |
Safety and Handling
WARNING: Cancer - www.P65Warnings.ca.gov
Product Content Correction
Your input is important to us. Please complete this form to provide feedback related to the content on this product.
Product Title
Spot an opportunity for improvement?Share a Content Correction