Promotional price valid on web orders only. Your contract pricing may differ. Interested in signing up for a dedicated account number?
Learn More
Learn More
Invitrogen™ Phospho-GRK1/GRK2 (Tyr13) Polyclonal Antibody

Rabbit Polyclonal Antibody
Supplier: Invitrogen™ PA5118740
Description
Antibody detects endogenous levels of GRK1/2 only when phosphorylated at Tyr13.
The sensation of sight is the result of a cascade of events starting with the interaction of photoactivated rhodopsin with a protein called transducin. Rhodopsin kinase is a G-protein-coupled Ser/Thr kinase, also known as GRK1, which is a key element in the regulation of this cascade. Following phosphorylation by GRK1, arrestin is recruited to phospho-rhodopsin quenching its phototransductive activity by preventing further interaction with transducin. By breaking the cycle of phototransduction, GRK1 plays an important role in the restoration of the system for subsequent visual events.
Specifications
| Phospho-GRK1/GRK2 (Tyr13) | |
| Polyclonal | |
| Unconjugated | |
| GRK2 | |
| ADRBK1; Adrbk-1; adrenergic beta receptor kinase 1; adrenergic receptor kinase, beta 1; adrenergic, beta, receptor kinase 1; BARK; BARK1; Bark-1; beta ARK; beta-adrenergic receptor kinase 1; beta-adrenergic receptor kinase 1 beta ARK1; beta-AR kinase-1; betaARK1; BETA-ARK1; beta-ARK-1; G protein-coupled receptor kinase 1; G protein-coupled receptor kinase 2; G protein-coupled receptpr kinase 1; GPRK1; G-protein coupled receptor kinase 2; G-protein receptor kinase 1; G-protein-coupled receptor kinase 2; grk 2; GRK1; Grk2; GRK-2; rhodopsin kinase; Rhodopsin kinase GRK1; Rhok; Rk | |
| Rabbit | |
| Sequential chromatography | |
| RUO | |
| 110355, 156, 24013, 25238, 6011, 81760 | |
| -20°C | |
| Liquid |
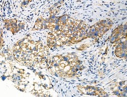
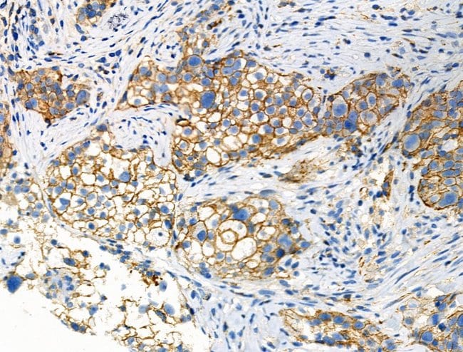
| Immunohistochemistry (Paraffin), Western Blot | |
| 1 mg/mL | |
| PBS with 50% glycerol and 0.02% sodium azide; pH 7.4 | |
| P25098, P26817, Q15835, Q63651, Q99MK8, Q9WVL4 | |
| GRK1, GRK2 | |
| A synthesized peptide derived from human GRK2(Accession P25098), corresponding to amino acid residues around phosphorylated Tyr13. | |
| 100 μL | |
| Primary | |
| Human, Mouse, Rat | |
| Antibody | |
| IgG |
Safety and Handling
WARNING: Cancer - www.P65Warnings.ca.gov
Product Content Correction
Your input is important to us. Please complete this form to provide feedback related to the content on this product.
Product Title
Spot an opportunity for improvement?Share a Content Correction