Learn More
Invitrogen™ Phospho-Histone H3 (Ser58) Polyclonal Antibody

Description
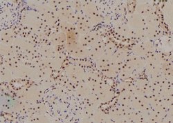
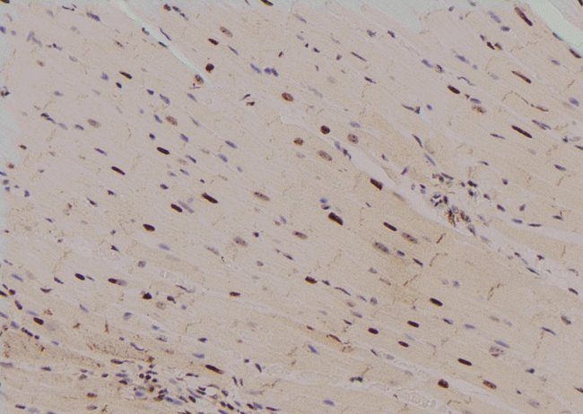
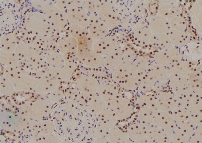
Antibody detects endogenous levels of Histone H3 only when phosphorylated at Ser58.
Specifications
Specifications
| Antigen | Phospho-Histone H3 (Ser58) |
| Applications | Immunohistochemistry (Paraffin), Western Blot, Immunocytochemistry |
| Classification | Polyclonal |
| Concentration | 1 mg/mL |
| Conjugate | Unconjugated |
| Formulation | PBS with 50% glycerol and 0.02% sodium azide; pH 7.4 |
| Gene | H3C1 |
| Gene Accession No. | P68431, P68433, P84228, Q71DI3 |
| Gene Alias | BUR5; CG31613; CG31613-PA; CG33803; CG33806; CG33809; CG33812; CG33815; CG33818; CG33821; CG33824; CG33827; CG33830; CG33833; CG33836; CG33839; CG33842; CG33845; CG33848; CG33851; CG33854; CG33857; CG33860; CG33863; CG33866; CG5825; CG5825-PA; CG5825-PC; CG5825-PD; CG8989; dH3.3A; Dmel\CG31613; Dmel\CG5825; Dmel_CG31613; Dmel_CG5825; fb58e10; h3; H3 histone; H3 histone family, member A; H3 histone family, member I; H3 histone family, member K; H3 histone family, member L; H3 histone family, member M; H3 histone, family 2; H3 histone, family 3A; H3 histone, family 3B; H3 histone, family 3B (H3.3B); H3 histone, family 3B.1; H3 histone, family 3C; H3.1-221; H3.1-291; H3.1-I; H3.2; H3.2-221; H3.2-614; H3.2-615; H3.2-616; h3.2a; H3.3; H3.3 histone A; H3.3 histone B; H3.3a; H3.3B; H3.5; H3.5 histone; H3.A; H3.B; H3/A; H3/b; H3/d; H3/f; H3/i; H3/j; H3/k; H3/l; H3/M; H3/n; H3/o; H3-143; H3-291; H3-3A; H3-3B; H3-5; H3-53; H3-614; H3a; H3b; H3-B; H3C1; H3c10; H3c11; H3C12; H3C2; H3C3; H3C4; H3C6; H3C7; H3C8; H3f; H3-F; H3F1K; H3F2; H3F3; h3f3a; H3F3A protein; H3f3b; h3f3b.1; H3F3C; h3f3d; H3FA; H3FB; H3FC HIST1H3C; H3FD; H3FF; H3FH; H3FI; H3FJ; H3FK; H3FL; H3FM; H3FN; H3g; H3h; H3i; H3L-like histone; h3r; H3S10ph; H4 clustered histone 16; H4 clustered histone 19; H4C16; H4C19; HHT1; HHT2; His3; His3.3; His3.3A; His-3.3A; His3.3A-PA; His3.3A-PC; His3.3A-PD; His3.3B; His3:CG31613; His3:CG31613-PA; His3:CG33803; His3:CG33806; His3:CG33809; His3:CG33812; His3:CG33815; His3:CG33818; His3:CG33821; His3:CG33824; His3:CG33827; His3:CG33830; His3:CG33833; His3:CG33836; His3:CG33839; His3:CG33842; His3:CG33845; His3:CG33848; His3:CG33851; His3:CG33854; His3:CG33857; His3:CG33860; His3:CG33863; His3:CG33866; Hist1; Hist1h2ai; Hist1h2ail; Hist1h2ail1; HIST1H3A; HIST1H3B; Hist1h3c; HIST1H3D; Hist1h3e; Hist1h3f; Hist1h3g; hist1h3g.L; HIST1H3H; HIST1H3I; HIST1H3J; hist2h3; HIST2H3A; Hist2h3b; HIST2H3C; Hist2h3c1; Hist2h3c2; Hist2h3c2-ps; Hist2h3ca1; Hist2h3ca2; HIST2H3D; histone; histone 1, H2ai; histone 1, H3a; histone 1, H3b; histone 1, H3f; histone 1, H3h; histone 2, H3a; histone 2, H3c; histone 2, H3c2; histone 2, H3ca2; Histone 3; histone cluster 1 H3 family member a; histone cluster 1, H2ai; histone cluster 1, H2ai-like; histone cluster 1, H2ai-like1; histone cluster 1, H3a; histone cluster 1, H3b; histone cluster 1, H3f; histone cluster 1, H3g protein L homeolog; histone cluster 1, H3h; Histone Cluster 2 H3a; histone cluster 2, H3a; histone cluster 2, H3c; histone cluster 2, H3c2; histone cluster 2, H3c2, pseudogene; histone cluster 3, H3; histone gene complex 1; histone H3; Histone H3 containing protein; histone H3.1; Histone H3.2; histone H3.2-like; histone H3.3; Histone H3.3A; Histone H3.3B; Histone H3.3C; histone H3.3C-like; histone H3.3-like protein; Histone H3.5; histone H3/a; Histone H3/b; Histone H3/c; Histone H3/d; Histone H3/f; Histone H3/h; Histone H3/i; Histone H3/j; Histone H3/k; histone H3/l; Histone H3/m; histone H3/o; histone H3-like; histone H4; histone variant H3.5; hypothetical protein LOC406269; hypothetical protein LOC550262; I79_014844; lamprey; lpy; M32461; N2749; PH3; PP781; similar to H3 histone, family 3A; SIN2; Unknown (protein for MGC:128166); wu:fa25h06; wu:fa96g06; wu:fb07a08; wu:fb36f01; wu:fb58e10; XELAEV_18028537mg; YBR010W; YBR0201; YNL031C; zgc:110292; zgc:174300; zgc:56193; zgc:56418; zgc:64222; zgc:86731 |
| Gene Symbols | H3C1, H3C10, H3C12, H3C14, H3C15, H3C2, H3C7, HIST1H3A |
| Show More |
Safety and Handling
By clicking Submit, you acknowledge that you may be contacted by Fisher Scientific in regards to the feedback you have provided in this form. We will not share your information for any other purposes. All contact information provided shall also be maintained in accordance with our Privacy Policy.