Learn More
Invitrogen™ Phospho-ITK (Tyr512) Polyclonal Antibody

Description
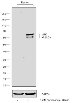
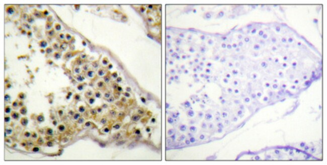
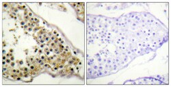
Phospho-ITK (Tyr512) Polyclonal Antibody detects endogenous levels of ITK only when phosphorylated at Tyr512.
Specifications
Specifications
| Antigen | Phospho-ITK (Tyr512) |
| Applications | Immunohistochemistry (Paraffin), Western Blot, Immunocytochemistry |
| Classification | Polyclonal |
| Concentration | 1 mg/mL |
| Conjugate | Unconjugated |
| Formulation | PBS with 50% glycerol, 0.5% BSA and 0.02% sodium azide; pH 7.4 |
| Gene | ITK |
| Gene Accession No. | Q03526, Q08881 |
| Gene Alias | EMT; homolog of mouse T-cell itk/tsk; IL2 inducible T cell kinase; IL2 inducible T-cell kinase; IL-2-inducible T cell kinase; IL-2-inducible T-cell kinase; IL2-inducible T-cell kinase; interleukin-2-inducible T cell kinase; interleukin-2-inducible T-cell kinase; ITK; Kinase EMT; kinase TLK; LPFS1; LYK; MGC126257; MGC126258; PSCTK2; T-cell-specific kinase; Tcsk; Tlk; Tsk; Tyrosine-protein kinase ITK/TSK; tyrosine-protein kinase LYK |
| Gene Symbols | ITK |
| Show More |
By clicking Submit, you acknowledge that you may be contacted by Fisher Scientific in regards to the feedback you have provided in this form. We will not share your information for any other purposes. All contact information provided shall also be maintained in accordance with our Privacy Policy.