Learn More
Invitrogen™ Phospho-MDC1 (Ser513) Polyclonal Antibody

Description
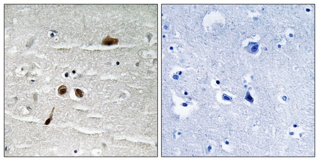
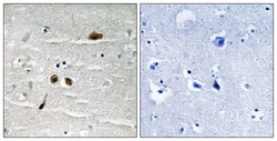
A suggested positive control for IHC is human brain tissue.
Specifications
Specifications
| Antigen | Phospho-MDC1 (Ser513) |
| Applications | Immunohistochemistry (Paraffin) |
| Classification | Polyclonal |
| Concentration | 1 mg/mL |
| Conjugate | Unconjugated |
| Formulation | PBS with 50% glycerol and 0.02% sodium azide; pH 7.4 |
| Gene | MDC1 |
| Gene Accession No. | Q14676 |
| Gene Alias | 6820401C03; AA413496; DAAP-285E11.7; DKFZp781A0122; homologue to Drosophila photoreceptor protein calphotin; KIAA0170; MDC1; mediation of DNA damage checkpoint 1; mediator of DNA damage checkpoint 1; mediator of DNA damage checkpoint protein 1; mediator of DNA-damage checkpoint 1; MGC166888; mKIAA0170; NFBD1; nuclear factor with BRCT domains 1 |
| Gene Symbols | MDC1 |
| Show More |
Safety and Handling
By clicking Submit, you acknowledge that you may be contacted by Fisher Scientific in regards to the feedback you have provided in this form. We will not share your information for any other purposes. All contact information provided shall also be maintained in accordance with our Privacy Policy.