Learn More
Invitrogen™ Phospho-MEK1 (Thr286) Polyclonal Antibody

Description
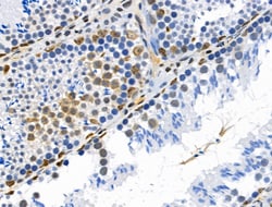
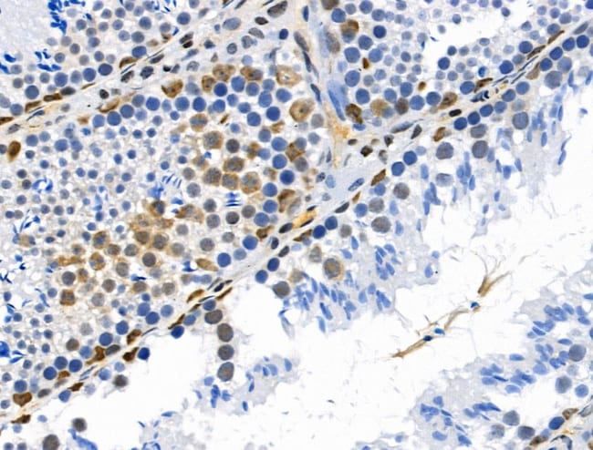
Antibody detects endogenous levels of MEK1 only when phosphorylated at Thr286.
Specifications
Specifications
| Antigen | Phospho-MEK1 (Thr286) |
| Applications | Immunohistochemistry (Paraffin), Western Blot, Immunocytochemistry |
| Classification | Polyclonal |
| Concentration | 1 mg/mL |
| Conjugate | Unconjugated |
| Formulation | PBS with 50% glycerol and 0.02% sodium azide; pH 7.4 |
| Gene | Map2k1 |
| Gene Accession No. | P31938, Q01986, Q02750 |
| Gene Alias | CFC3; dual specificity mitogen activated protein kinase kinase 1; dual specificity mitogen-activated protein kinase kinase 1; EC 2.7.12.2; ERK activator kinase 1; kinase MEK1; MAP kinase kinase 1; MAP kinase kinase or Erk Kinase, Dual specificity mitogen-activated protein kinase kinase, involved in ras mediated vulval induction, LEThal LET-537 (42.8 kD) (mek-2); MAP kinase/Erk kinase 1; Map2k1; map2k1.L; MAPK/ERK kinase 1; MAPKK 1; MAPKK1; MEK 1; Mek1; MEK2; mek-2; MEKK1; mitogen activated protein kinase kinase 1; mitogen-activated protein kinase kinase 1; mitogen-activated protein kinase kinase 1 L homeolog; MKK (Thr292); MKK (Thr386); MKK1; MKK2; MP2K1; Prkmk1; PRKMK2; protein kinase, mitogen activated, kinase 1, p45; protein kinase, mitogen-activated, kinase 1 (MAP kinase kinase 1); XELAEV_18018447mg |
| Gene Symbols | Map2k1 |
| Show More |
Safety and Handling
By clicking Submit, you acknowledge that you may be contacted by Fisher Scientific in regards to the feedback you have provided in this form. We will not share your information for any other purposes. All contact information provided shall also be maintained in accordance with our Privacy Policy.