Learn More
Invitrogen™ Phospho-MEK3 (Ser189) Polyclonal Antibody

Description
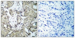
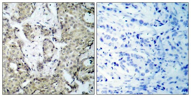
A suggested positive control for Western blot is Hela cells; suggested positive control for IHC is human breast carcinoma; suggested positive control for ICC/IF is Hela cells.
Specifications
Specifications
| Antigen | Phospho-MEK3 (Ser189) |
| Applications | Immunohistochemistry (Paraffin), Western Blot, Immunocytochemistry |
| Classification | Polyclonal |
| Concentration | 1 mg/mL |
| Conjugate | Unconjugated |
| Formulation | PBS with 50% glycerol and 0.02% sodium azide; pH 7.4 |
| Gene | MAP2K3 |
| Gene Accession No. | O09110, P46734 |
| Gene Alias | AW212142; dual specificity mitogen-activated protein kinase kinase 3; EC 2.7.12.2; MAP kinase kinase 3; Map2k3; MAPK/ERK kinase 3; MAPKK 3; MAPKK3; MEK 3; Mek3; mitogen activated protein kinase kinase 3; mitogen-activated protein kinase kinase 3; Mkk3; mMKK3b; Prkmk3; protein kinase, mitogen-activated, kinase 3; SAPK kinase 2; SAPKK2; SAPKK-2; SKK2; Stress-activated protein kinase kinase 2 |
| Gene Symbols | MAP2K3 |
| Show More |
By clicking Submit, you acknowledge that you may be contacted by Fisher Scientific in regards to the feedback you have provided in this form. We will not share your information for any other purposes. All contact information provided shall also be maintained in accordance with our Privacy Policy.