Promotional price valid on web orders only. Your contract pricing may differ. Interested in signing up for a dedicated account number?
Learn More
Learn More
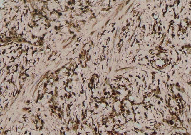
Invitrogen™ Phospho-MLKL (Ser358) Polyclonal Antibody
Rabbit Polyclonal Antibody
Supplier: Invitrogen™ PA5105678
Description
Antibody detects endogenous levels of MLKL only when phosphorylated at Ser358.
The protein kinase domain is predicted to be catalytically inactive. Molecular function: protein binding. There are two isoforms.
Specifications
Phospho-MLKL (Ser358) | |
Polyclonal | |
Unconjugated | |
Mlkl | |
9130019I15Rik; hMLKL; mixed lineage kinase domain like pseudokinase; mixed lineage kinase domain-like; mixed lineage kinase domain-like protein; Mlkl; rCG51567-like | |
Rabbit | |
sequential chromatography | |
RUO | |
197259, 690743, 74568 | |
-20°C | |
Liquid |
Immunohistochemistry (Paraffin), Western Blot | |
1 mg/mL | |
PBS with 50% glycerol and 0.02% sodium azide; pH 7.4 | |
Q8NB16, Q9D2Y4 | |
Mlkl | |
A synthesized peptide derived from human MLKL(Accession Q8NB16), corresponding to amino acid residues around phosphorylated Ser358. | |
100 μL | |
Primary | |
Human, Mouse, Rat | |
Antibody | |
IgG |
Safety and Handling
WARNING: Cancer - www.P65Warnings.ca.gov
Product Content Correction
Your input is important to us. Please complete this form to provide feedback related to the content on this product.
Product Title
Spot an opportunity for improvement?Share a Content Correction