Promotional price valid on web orders only. Your contract pricing may differ. Interested in signing up for a dedicated account number?
Learn More
Learn More
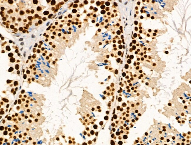
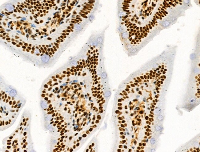
Invitrogen™ Phospho-MNK1 (Thr250, Thr255) Polyclonal Antibody

Rabbit Polyclonal Antibody
Supplier: Invitrogen™ PA5105226
Description
Antibody detects endogenous levels of Mnk1 only when phosphorylated at Thr250/255.
The Map kinase-interacting kinases (MKNK1 and MKNK2) are activated by Map kinases, regulate protein synthesis by phosphroylation eIF4E on Ser209, and may contribute to tumorigenesis. Overexpression of Mnk2 results in increased phosphorylation of endogenous eIF-4E, showing that it can act as an eIF-4E kinase in vivo. Mnk2 may play a role in the response to environmental stress and cytokines. Expression of active mutants of MNK1 and MNK2 in 293 cells diminishes cap-dependent translation relative to cap-independent translation in a transient reporter assay. Human Mnk2 is homologous to murine Mnk2 (approximately 94% identical) and human Mnk1 (71% identical). In vitro phosphorylation studies show that Mnk2 is a significantly better substrate than Mnk1 for extracellular signal-regulated kinase 2 (Erk2), p38MAPKalpha, and p38MAPKbeta.
Specifications
| Phospho-MNK1 (Thr250, Thr255) | |
| Polyclonal | |
| Unconjugated | |
| MKNK1 | |
| 2410048M24Rik; MAP kinase interacting serine/threonine kinase 1; MAP kinase signal-integrating kinase 1; MAP kinase-interacting serine/threonine kinase 1; MAP kinase-interacting serine/threonine-protein kinase 1; MAPK signal-integrating kinase 1; MKNK1; Mnk1; OTTHUMP00000009675; OTTHUMP00000009676 | |
| Rabbit | |
| Sequential chromatography | |
| RUO | |
| 17346, 8569 | |
| -20°C | |
| Liquid |
| Immunohistochemistry (Paraffin), Western Blot | |
| 1 mg/mL | |
| PBS with 50% glycerol and 0.02% sodium azide; pH 7.4 | |
| O08605, Q9BUB5 | |
| MKNK1 | |
| A synthesized peptide derived from human MKNK1(Accession Q9BUB5), corresponding to amino acid residues around phosphorylated Thr250. | |
| 100 μL | |
| Primary | |
| Human, Mouse | |
| Antibody | |
| IgG |
Safety and Handling
WARNING: Cancer - www.P65Warnings.ca.gov
Product Content Correction
Your input is important to us. Please complete this form to provide feedback related to the content on this product.
Product Title
Spot an opportunity for improvement?Share a Content Correction