Promotional price valid on web orders only. Your contract pricing may differ. Interested in signing up for a dedicated account number?
Learn More
Learn More
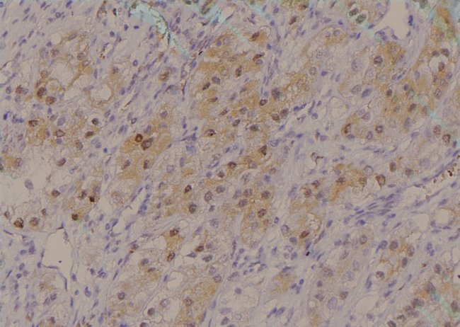
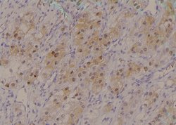
Invitrogen™ Phospho-MSK2 (Ser360) Polyclonal Antibody

Rabbit Polyclonal Antibody
Supplier: Invitrogen™ PA5105431
Description
Antibody detects endogenous levels of MSK2 only when phosphorylated at Ser360.
RPS6KA4 (MSK2) is a serine/threonine protein kinase that is essential for the regulation of various cellular processes. This kinase contains 2 non-identical kinase catalytic domains and phosphorylates various substrates, including CREB1 and c-fos. RPS6KA4 contains 2 non-identical kinase catalytic domains and phosphorylates various substrates, including CREB1 and c-fos. Alternate transcriptional splice variants of this gene have been observed but have not been thoroughly characterized.
Specifications
| Phospho-MSK2 (Ser360) | |
| Polyclonal | |
| Unconjugated | |
| Rps6ka4 | |
| 1110069D02Rik; 90 kDa ribosomal protein S6 kinase 4; 90kDa; AI848992; Ccdc88b; coiled-coil domain containing 88B; EC 2.7.11.1; kinase MSK2; KS6A4; mitogen- and stress-activated protein kinase 2; mitogen- and stress-activated protein kinase-2; mMSK2; MSK2; Nuclear mitogen- and stress-activated protein kinase 2; ribosomal protein kinase B; ribosomal protein S6 kinase A4; ribosomal protein S6 kinase alpha 4; ribosomal protein S6 kinase alpha-4; ribosomal protein S6 kinase, 90kD, polypeptide 4; ribosomal protein S6 kinase, 90kDa, polypeptide 4; ribosomal protein S6 kinase, polypeptide 4; RLSK; RPS6KA4; RSKB; RSK-B; RSK-like protein kinase; S6K-alpha-4 | |
| Rabbit | |
| sequential chromatography | |
| RUO | |
| 361715, 56613, 8986 | |
| -20°C | |
| Liquid |
| Immunohistochemistry (Paraffin), Western Blot, Immunocytochemistry | |
| 1 mg/mL | |
| PBS with 50% glycerol and 0.02% sodium azide; pH 7.4 | |
| O75676, Q9Z2B9 | |
| Rps6ka4 | |
| A synthesized peptide derived from human RPS6KA4(Accession O75676), corresponding to amino acid residues around phosphorylated Ser360. | |
| 100 μL | |
| Primary | |
| Human, Mouse, Rat | |
| Antibody | |
| IgG |
Safety and Handling
WARNING: Cancer - www.P65Warnings.ca.gov
Product Content Correction
Your input is important to us. Please complete this form to provide feedback related to the content on this product.
Product Title
Spot an opportunity for improvement?Share a Content Correction