Promotional price valid on web orders only. Your contract pricing may differ. Interested in signing up for a dedicated account number?
Learn More
Learn More
Invitrogen™ Phospho-p130Cas (Tyr410) Polyclonal Antibody

Rabbit Polyclonal Antibody
Supplier: Invitrogen™ PA5104930
Description
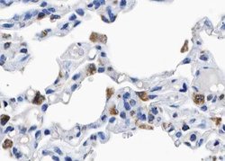
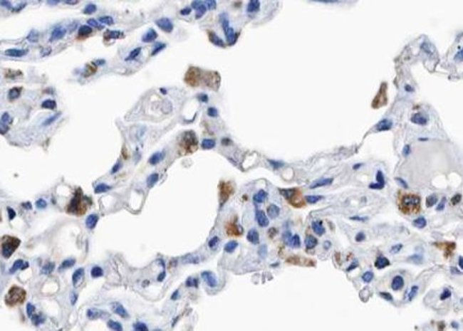
Antibody detects endogenous levels of p130 Cas only when phosphorylated at Tyrosine 410.
The p130Cas (Cas for Crk-associated substrate) is a common cellular target of phosphorylation signal via v-Crk and v-Src oncoproteins. p130Cas has a unique structure that contains a Src homology (SH)-3 domain followed by multiple YXXP motifs and a proline-rich regionp130Cas is implicated in a variety of biological processes including cell adhesion, cell migration, growth factor stimulation, cytokine receptor engagement and bacterial infection. Physiological functions of p130Cas include cardiovascular development, actin filament assembly and Src-induced cell transformation.
Specifications
Phospho-p130Cas (Tyr410) | |
Polyclonal | |
Unconjugated | |
BCAR1 | |
AI385681; BCA1; Bcar1; BCAR1 scaffold protein, Cas family member; BCAR1, Cas family scaffold protein; BCAR1, Cas family scaffolding protein; breast cancer anti-estrogen resistance 1; breast cancer anti-estrogen resistance protein 1; Cas; Cas scaffolding protein family member 1; CAS1; CASS1; CRKAS; CRK-associated substrate; Crk-associated substrate p130Cas; OTTHUMP00000174941; p130 Cas; P130CAS; p130Cas (pTyr410); p130Cas (pY410); p130Cas phospho; phospho p130Cas; v-crk-associated tyrosine kinase substrate | |
Rabbit | |
Sequential Chromatography | |
RUO | |
12927, 25414, 9564 | |
-20°C | |
Liquid |
Immunohistochemistry (Paraffin), Western Blot, Immunocytochemistry | |
1 mg/mL | |
PBS with 50% glycerol and 0.02% sodium azide; pH 7.4 | |
P56945, Q61140, Q63767 | |
BCAR1 | |
A synthesized peptide derived from human BCAR1(Accession P56945), corresponding to amino acid residues around phosphorylated Tyr410. | |
100 μL | |
Primary | |
Human, Mouse, Rat | |
Antibody | |
IgG |
Safety and Handling
WARNING: Cancer - www.P65Warnings.ca.gov
Product Content Correction
Your input is important to us. Please complete this form to provide feedback related to the content on this product.
Product Title
Spot an opportunity for improvement?Share a Content Correction