Learn More
Invitrogen™ Phospho-p21 (Thr145) Polyclonal Antibody

Description
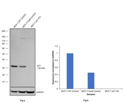
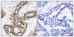
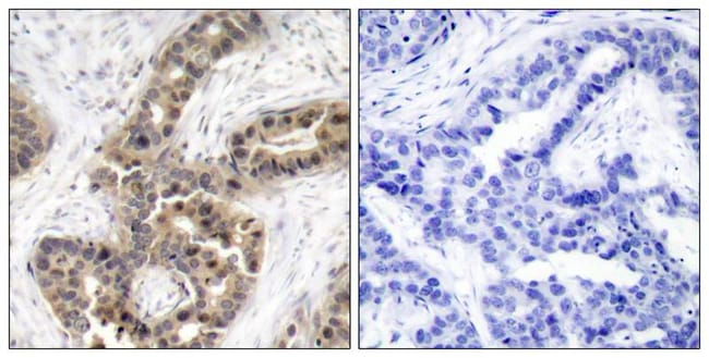
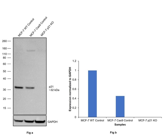
A suggested positive control for IHC is human breast carcinoma.
Specifications
Specifications
| Antigen | Phospho-p21 (Thr145) |
| Applications | Immunohistochemistry (Paraffin), Western Blot |
| Classification | Polyclonal |
| Concentration | 1 mg/mL |
| Conjugate | Unconjugated |
| Formulation | PBS with 50% glycerol and 0.02% sodium azide; pH 7.4 |
| Gene | CDKN1A |
| Gene Accession No. | P38936 |
| Gene Alias | Activating Fragment 1; CAP20; cdk inhibitor CIP1; cdk inhibitor CIP1 (p21); CDKI; CDK-interacting protein 1; CDK-interaction protein 1; Cdkn1; CDKN1A; CDNK1A; CIP1; Cip1); cyclin dependent kinase inhibitor 1A; cyclin-dependent kinase inhibitor 1; cyclin-dependent kinase inhibitor 1A; Cyclin-dependent kinase inhibitor 1A (p21; cyclin-dependent kinase inhibitor 1A (P21); cyclin-dependent kinase inhibitor 1A (p21, Cip1); cyclin-dependent kinase inhibitor 1A variant 1; cyclin-dependent kinase inhibitor 1A variant 2; DNA synthesis inhibitor; MDA6; MDA-6; melanoma differentiation associated protein 6; melanoma differentiation-associated protein; Melanoma differentiation-associated protein 6; OTTHUMP00000016298; p21; p21>WAF1/CIP1>; p21Cip1; p21Cip1/Waf1; p21WAF; PIC1; putative cyclin-dependent kinase inhibitor 1A (p21/WAF1/CIP1); SDI1; SLC12A9; UV96; WAF1; Wild type p53 activated fragment 1 (WAF1); wild-type p53-activated fragment 1 |
| Gene Symbols | CDKN1A |
| Show More |
Safety and Handling
By clicking Submit, you acknowledge that you may be contacted by Fisher Scientific in regards to the feedback you have provided in this form. We will not share your information for any other purposes. All contact information provided shall also be maintained in accordance with our Privacy Policy.