Learn More
Invitrogen™ Phospho-p57 Kip2 (Thr310) Polyclonal Antibody

Description
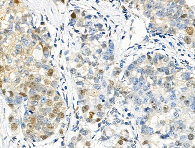
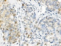
Antibody detects endogenous levels of p57 Kip2 only when phosphorylated at Thr310.
Specifications
Specifications
| Antigen | Phospho-p57 Kip2 (Thr310) |
| Applications | Immunohistochemistry (Paraffin), Western Blot |
| Classification | Polyclonal |
| Concentration | 1 mg/mL |
| Conjugate | Unconjugated |
| Formulation | PBS with 50% glycerol and 0.02% sodium azide |
| Gene | CDKN1C |
| Gene Accession No. | P49918 |
| Gene Alias | AL024410; Beckwith Wiedemann syndrome (WBS); BWCR; BWS; CDKI; Cdkn1c; cyclin dependent kinase inhibitor 1C; Cyclin dependent kinase inhibitor 1C (CDKN1C); cyclin-dependent kinase inhibitor 1C; cyclin-dependent kinase inhibitor 1C (P57); cyclin-dependent kinase inhibitor 1C (p57, Kip2); cyclin-dependent kinase inhibitor p57; IMAGE; KIP2; p57; p57 Kip2; p57(kip2); p57KIP2; p57KIP2 A3sh; WBS |
| Gene Symbols | CDKN1C |
| Show More |
By clicking Submit, you acknowledge that you may be contacted by Fisher Scientific in regards to the feedback you have provided in this form. We will not share your information for any other purposes. All contact information provided shall also be maintained in accordance with our Privacy Policy.