Learn More
Invitrogen™ Phospho-PFKFB3 (Ser461) Polyclonal Antibody

Description
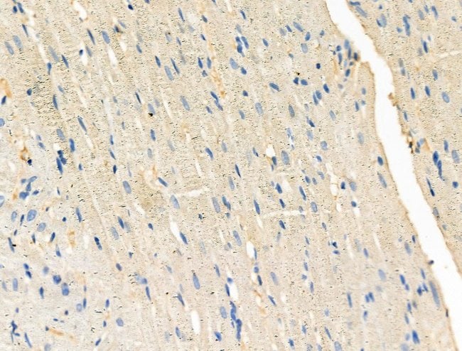
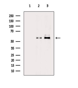
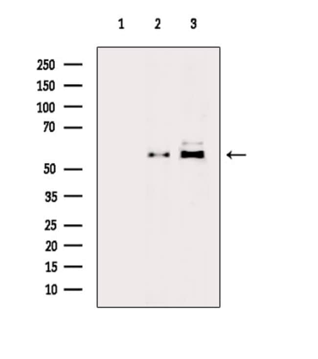
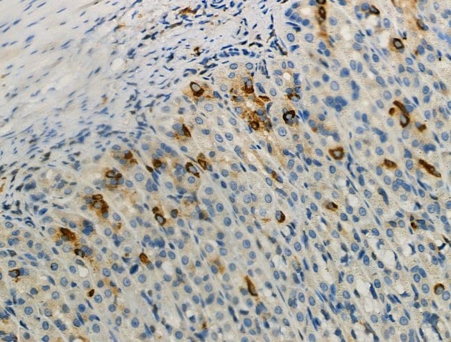
Antibody detects endogenous levels of PFKFB3 only when phosphorylated at Ser461.
Specifications
Specifications
| Antigen | Phospho-PFKFB3 (Ser461) |
| Applications | Immunohistochemistry (Paraffin), Western Blot, Immunocytochemistry |
| Classification | Polyclonal |
| Concentration | 1 mg/mL |
| Conjugate | Unconjugated |
| Formulation | PBS with 50% glycerol and 0.02% sodium azide; pH 7.4 |
| Gene | PFKFB3 |
| Gene Accession No. | O35552, Q16875 |
| Gene Alias | 6-biphosphatase 3; 6PF-2-K/Fru-2,6-P2ase 3; 6PF-2-K/Fru-2,6-P2ase brain/placenta-type isozyme; 6PF-2-K/Fru-2,6-P2ASE brain-type isozyme; 6-phosphofructo-2-kinase; 6-phosphofructo-2-kinase/ fructose-2,6-bisphosphatase; 6-phosphofructo-2-kinase/fructose-2,6-biphosphatase 3; 6-phosphofructo-2-kinase/fructose-2,6-bisphosphatase 3; E330010H22Rik; Fructose-2; Fructose-2,6-bisphosphatase; fructose-6-phosphate,2-kinase/fructose-2, 6-bisphosphatase; inducible 6-phosphofructo-2-kinase; inducible 6-phosphofructo-2-kinase/fructose-2,6-bisphosphatase; IPFK2; iPFK-2; PFK/FBPase 3; PFK2; PFKFB3; RB2K; renal carcinoma antigen NY-REN-56; RP11-298K24.3; uPFK-2 |
| Gene Symbols | PFKFB3 |
| Show More |
Safety and Handling
By clicking Submit, you acknowledge that you may be contacted by Fisher Scientific in regards to the feedback you have provided in this form. We will not share your information for any other purposes. All contact information provided shall also be maintained in accordance with our Privacy Policy.