Promotional price valid on web orders only. Your contract pricing may differ. Interested in signing up for a dedicated account number?
Learn More
Learn More
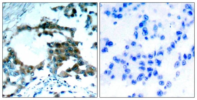
Invitrogen™ Phospho-PKC theta (Ser695) Polyclonal Antibody

Rabbit Polyclonal Antibody
Supplier: Invitrogen™ PA537697
Description
A suggested positive control for Western blot is 293 cells; suggested positive control for IHC is human lung carcinoma.
Protein Kinase C (PKC) isoforms are serine/threonine kinases involved in signal transduction pathways that govern a wide range of physiological processes including differentiation, proliferation, gene expression, brain function, membrane transport and the organization of cytoskeletal and extracellular matrix proteins. Increasing evidence from studies using in vitro and in vivo systems points to PKC as a key regulator of critical cell cycle transitions, including cell cycle entry and exit and the G1 and G2 checkpoints. PKC-mediated control of these transitions can be negative or positive, depending on the timing of PKC activation during the cell cycle and on the specific PKC isozymes involve. There have been at least 12 different PKC isoforms identified in humans to date, including alpha, beta I, beta II, gamma, delta, epsilon, zeta, eta, theta, iota, lambda, and mu. The different PKC isoforms vary in structure, subcellular localization, tissue distribution and response to extracellular signals. PKC beta II has been shown to be expressed, in part, in cardiac muscle, intestinal epithelium, kidney and pancreas. PKC beta II has been shown to be involved in cell cycle progression and cancer proliferation.
Specifications
| Phospho-PKC theta (Ser695) | |
| Polyclonal | |
| Unconjugated | |
| PRKCQ | |
| A130035A12Rik; AW494342; EC 2.7.11.13; kinase nPKC-theta; KPCT; MGC126514; MGC141919; nPKC-theta; PKC theta; PKC-0; Pkcq; PKCtheta; PKC-theta; PRKCQ; PRKCT; protein kinase C theta; protein kinase C theta type; protein kinase C, theta; RP11-563J2.1; si:ch211-239o15.1 | |
| Rabbit | |
| Affinity Chromatography | |
| RUO | |
| 5588 | |
| -20°C | |
| Liquid |
| Immunohistochemistry (Paraffin), Western Blot | |
| 1 mg/mL | |
| PBS with 50% glycerol and 0.02% sodium azide; pH 7.4 | |
| Q04759 | |
| PRKCQ | |
| Peptide sequence around phosphorylation site of serine 695 (N-F-S(p)-F-M) derived from Human PKC-theta. | |
| 100 μL | |
| Primary | |
| Human | |
| Antibody | |
| IgG |
Product Content Correction
Your input is important to us. Please complete this form to provide feedback related to the content on this product.
Product Title
Spot an opportunity for improvement?Share a Content Correction