Learn More
Invitrogen™ Phospho-RARA (Ser77) Polyclonal Antibody

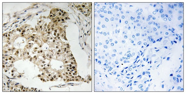
Description
This antibody is predicted to react with mouse and rat based on sequence homology.
Specifications
Specifications
| Antigen | Phospho-RARA (Ser77) |
| Applications | Immunohistochemistry (Paraffin), Western Blot |
| Classification | Polyclonal |
| Concentration | 1 mg/mL |
| Conjugate | Unconjugated |
| Formulation | PBS with 50% glycerol and 0.02% sodium azide; pH 7.4 |
| Gene | RARA |
| Gene Accession No. | P10276, P11416 |
| Gene Alias | Nr1b1; nuclear receptor subfamily 1 group B member 1; nucleophosmin-retinoic acid receptor alpha fusion protein NPM-RAR long form; RAR; RAR Alpha; RAR alpha 1; RARA; RAR-alpha; RARalpha1; retinoic acid; retinoic acid nuclear receptor alpha variant 1; retinoic acid nuclear receptor alpha variant 2; retinoic acid receptor; retinoic acid receptor alpha; retinoic acid receptor, alpha; retinoic acid receptor, alpha polypeptide; RRA |
| Gene Symbols | RARA |
| Show More |
By clicking Submit, you acknowledge that you may be contacted by Fisher Scientific in regards to the feedback you have provided in this form. We will not share your information for any other purposes. All contact information provided shall also be maintained in accordance with our Privacy Policy.