Learn More
Invitrogen™ Phospho-ROCK2 (Tyr722) Polyclonal Antibody

Description
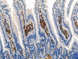
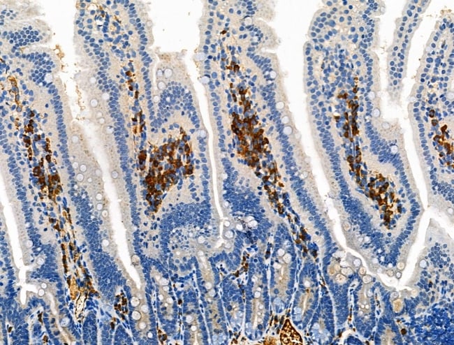
Antibody detects endogenous levels of ROCK2 only when phosphorylated at Tyr722.
Specifications
Specifications
| Antigen | Phospho-ROCK2 (Tyr722) |
| Applications | Immunohistochemistry (Paraffin), Western Blot |
| Classification | Polyclonal |
| Concentration | 1 mg/mL |
| Conjugate | Unconjugated |
| Formulation | PBS with 50% glycerol and 0.02% sodium azide; pH 7.4 |
| Gene | ROCK2 |
| Gene Accession No. | O75116, P70336, Q62868 |
| Gene Alias | B230113H15Rik; KIAA0619; mKIAA0619; p150 ROK-alpha; p164 ROCK-2; Rho associated coiled-coil containing protein kinase 2; Rho kinase 2; RhoA - binding serine/threosine kinase alpha (ROK - alpha); rhoA-binding kinase 2; Rho-associated coiled-coil containing protein kinase 2; Rho-associated coiled-coil forming kinage 2; Rho-associated coiled-coil forming kinase 2; rho-associated protein kinase 2; Rho-associated, coiled-coil-containing protein kinase 2; rho-associated, coiled-coil-containing protein kinase II; Rho-kinase; ROCK II; Rock2; Rock2m; rockii; ROCK-II; ROK; ROKalpha |
| Gene Symbols | ROCK2 |
| Show More |
Safety and Handling
By clicking Submit, you acknowledge that you may be contacted by Fisher Scientific in regards to the feedback you have provided in this form. We will not share your information for any other purposes. All contact information provided shall also be maintained in accordance with our Privacy Policy.