Promotional price valid on web orders only. Your contract pricing may differ. Interested in signing up for a dedicated account number?
Learn More
Learn More
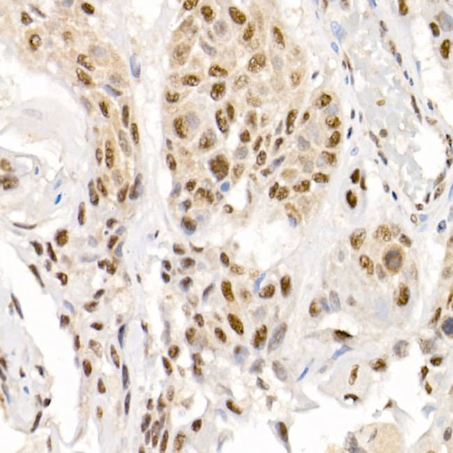
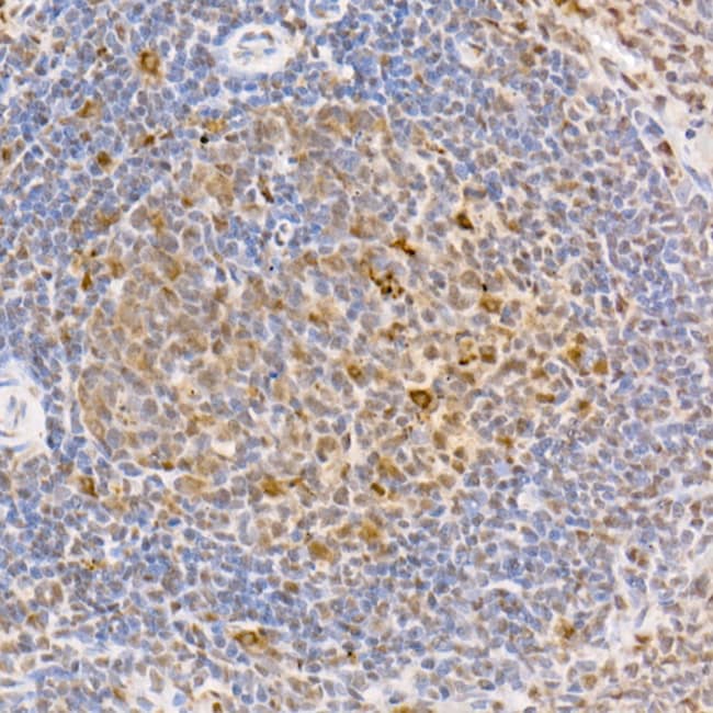
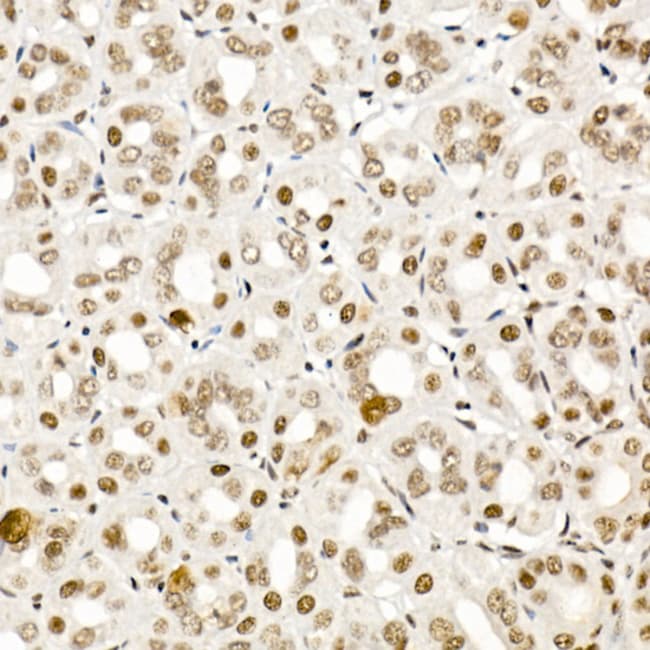
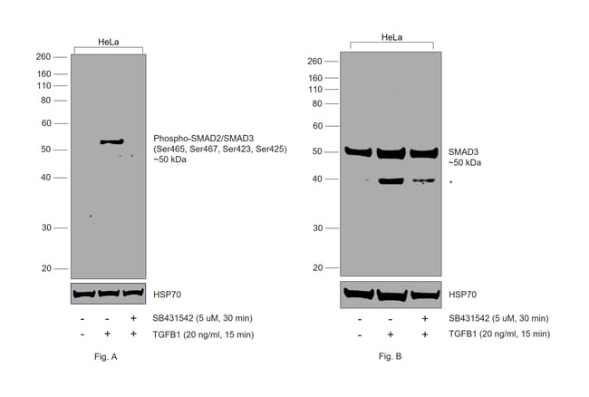
Invitrogen™ Phospho-SMAD2/SMAD3 (Ser465, Ser467, Ser423, Ser425) Polyclonal Antibody

Rabbit Polyclonal Antibody
Supplier: Invitrogen™ PA5110155
Description
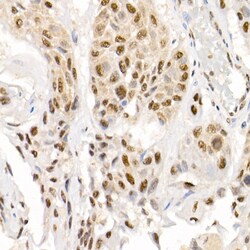
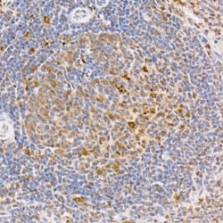
Phospho-SMAD2/SMAD3 (Ser465, Ser467, Ser423, Ser425) Polyclonal Antibody for Western Blot, ICC/IF, IHC (P), ELISA
Smad proteins, the mammalian homologs of the Drosophila mothers against decapentaplegic (Mad), have been implicated as downstream effectors of TGFβ/BMP signaling. Smad1 (also designated Madr1 or JV4-1) and Smad5 are effectors of BMP-2 and BMP-4 function, while Smad2 (also designated Madr2 or JV18-1) and Smad3 are involved in TGFβ and Activin-mediated growth modulation. Smad4 (also designated DPC4) has been shown to mediate all of the above activities through interaction with various Smad family members. Smad6 and Smad7 regulate the response to Activin/TGFβ signaling by interfering with TGFβ-mediated phosphorylation of other Smad proteins.
Specifications
| Phospho-SMAD2/SMAD3 (Ser465, Ser467, Ser423, Ser425) | |
| Polyclonal | |
| Unconjugated | |
| SMAD3 | |
| 7120426M23Rik; AU022421; hMAD-2; hMAD-3; hSMAD2; hSMAD3; HSPC193; HsT17436; JV15-2; JV18; JV18-1; LDS1C; LDS3; MAD (mothers against decapentaplegic, Drosophila) homolog 3; MAD homolog 2; MAD homolog 3; mad homolog JV15-2; mad protein homolog; MAD, mothers against decapentaplegic homolog 3; mad3; MADH2; MADH3; MADR2; mad-related protein 2; mMad2; mMad3; mother against DPP homolog 2; mothers against decapentaplegic homolog 2; Mothers against decapentaplegic homolog 3; mothers against DPP homolog 2; mothers against DPP homolog 3; pSMAD2; Sma- and Mad-related protein 2; SMA- and MAD-related protein 3; SMAD; Smad 2; Smad 3; SMAD family member 2; SMAD family member 3; SMAD, mothers against DPP homolog 2; SMAD, mothers against DPP homolog 3; Smad2; Smad-2; Smad3 | |
| Rabbit | |
| Affinity Chromatography | |
| RUO | |
| 17126, 17127, 25631, 29357, 4087, 4088 | |
| -20°C, Avoid Freeze/Thaw Cycles | |
| Liquid |
| ELISA, Immunohistochemistry (Paraffin), Western Blot, Immunocytochemistry | |
| 1.43 mg/mL | |
| PBS with 50% glycerol and 0.09% sodium azide; pH 7.3 | |
| O70436, P84022, P84025, Q15796, Q62432, Q8BUN5 | |
| SMAD2, SMAD3 | |
| Synthetic peptide. | |
| 100 μL | |
| Primary | |
| Human, Mouse, Rat | |
| Antibody | |
| IgG |
Product Content Correction
Your input is important to us. Please complete this form to provide feedback related to the content on this product.
Product Title
Spot an opportunity for improvement?Share a Content Correction