Promotional price valid on web orders only. Your contract pricing may differ. Interested in signing up for a dedicated account number?
Learn More

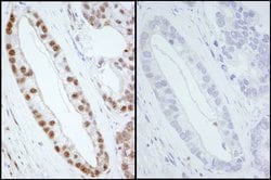
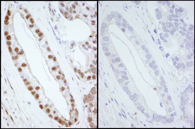
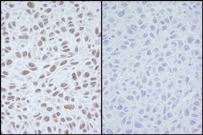
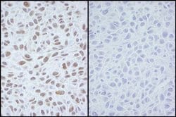
Phospho-SMC1 (Ser966) Polyclonal Antibody, Bethyl Laboratories

Catalog No. p-7143963
Encompass_Preferred
Change view
Click to view available options
Quantity:
10 μL
100 μL
2 product options available for selection
Product selection table with 2 available options. Use arrow keys to navigate and Enter or Space to select.
Catalog No. Quantity
50-157-1334 10 μL
50-157-1333 100 μL
Use arrow keys to navigate between rows. Press Enter or Space to select a product option. 2 options available.
2 options
Catalog No. 50-157-1334 Supplier Bethyl Laboratories, Inc Supplier No. IHC00016T
Only null left
Add to Cart
Add to Cart

Rabbit Polyclonal Antibody

The recommended shelf life for this product is 1 year from date of receipt. Based on 100% sequence identity, this antibody is predicted to react with Orangutan, Monkey, Northern white-cheeked gibbon, Small-eared galago, Crab-eating macaque and Whi

Structural Maintece of Chromosomes (SMC) family proteins play critical roles in various nuclear events that require structural changes of chromosomes, including mitotic chromosome organization, DNA recombination and repair and global transcriptional repression. The chromo proteins are conserved in eukaryotes and lead to mitotic chromosome segregatior defects. This suggests a critical function of SMC family proteins in mitotic chromosome dynamics. SMC1 and SMC3 form a heterodimeric complex required for metaphase progression in mitotic cells. Specifically this SMC1/SMC3 complex is responsible for sister chromatid cohesion during metaphase. Mutations in the gene can lead to Cornelia de Lange syndrome 2.

Specifications

Antigen Phospho-SMC1 (Ser966)
Applications Immunohistochemistry
Classification Polyclonal
Conjugate Unconjugated
Formulation TBS with 0.1% BSA and 0.09% sodium azide
Gene SMC1A
Gene Accession No. Q14683, Q9CU62
Gene Alias RP6-29D12.1, CDLS2, DKFZp686L19178, DXS423E, KIAA0178, MGC138332, SB1.8, SMC1, SMC1L1, SMC1alpha, SMCB
Gene Symbols Smc1a
Host Species Rabbit
Immunogen Surrounding serine 966
Purification Method Antigen affinity chromatography
Quantity 10 μL
Regulatory Status RUO
Primary or Secondary Primary
Gene ID (Entrez) 24061, 8243
Target Species Human, Mouse
Content And Storage 4° C
Product Type Antibody
Form Liquid
Isotype IgG
Show More Show Less
Product Title
Select an issue

By clicking Submit, you acknowledge that you may be contacted by Fisher Scientific in regards to the feedback you have provided in this form. We will not share your information for any other purposes. All contact information provided shall also be maintained in accordance with our Privacy Policy.