Learn More
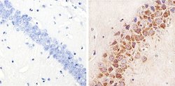
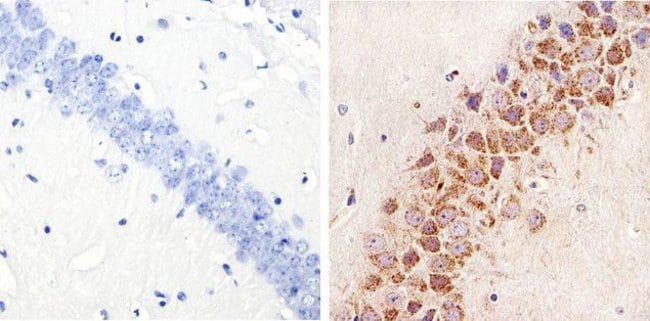
Invitrogen™ Phospho-STAT3 (Ser727) Polyclonal Antibody

Description
Phospho-STAT3 (Ser727) Polyclonal Antibody for Western Blot, IHC (P), ChIP
Specifications
Specifications
| Antigen | Phospho-STAT3 (Ser727) |
| Applications | ChIP Assay, Immunohistochemistry (Paraffin), Western Blot |
| Classification | Polyclonal |
| Conjugate | Unconjugated |
| Formulation | Dulbecco's PBS with 1mg/mL BSA and 0.05% sodium azide; pH 7.3 |
| Gene | STAT3 |
| Gene Accession No. | P40763, P42227, P52631 |
| Gene Alias | 1110034C02Rik; acute phase response factor; acute-phase response factor; ADMIO; ADMIO1; APRF; AW109958; DNA-binding protein APRF; FLJ20882; HIES; MGC16063; signal transducer and activator of transcription 3; signal transducer and activator of transcription 3 (acute-phase response factor); signal transducer; activator of transcription; acute-phase response factor; signal transduction and activation of transcription 3; STAT; STAT3; STAT-3; stat3 protein; STAT3b1; STAT3b2; transcription factor; Unknown (protein for MGC:128731); wu:fc15d02; wu:fl59g06; z-Stat3 |
| Gene Symbols | STAT3 |
| Host Species | Rabbit |
| Show More |
By clicking Submit, you acknowledge that you may be contacted by Fisher Scientific in regards to the feedback you have provided in this form. We will not share your information for any other purposes. All contact information provided shall also be maintained in accordance with our Privacy Policy.