Learn More
Invitrogen™ Phospho-TBK1 (Ser172) Polyclonal Antibody

Description
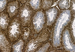
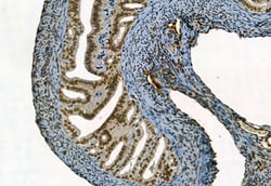
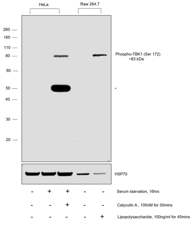
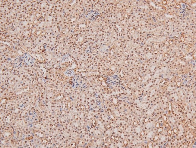
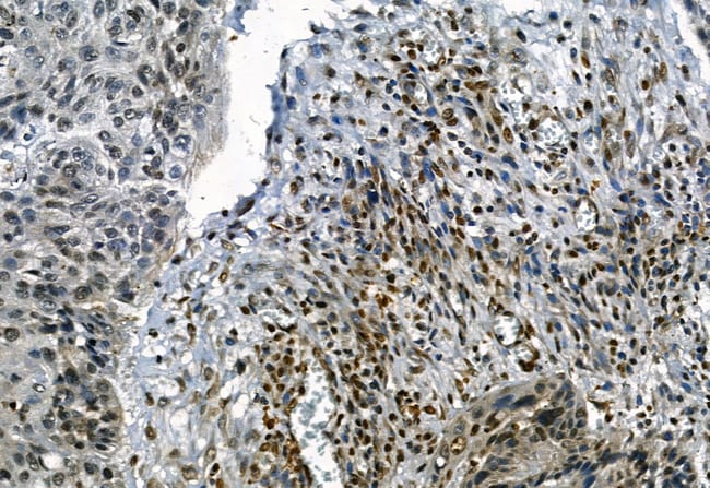
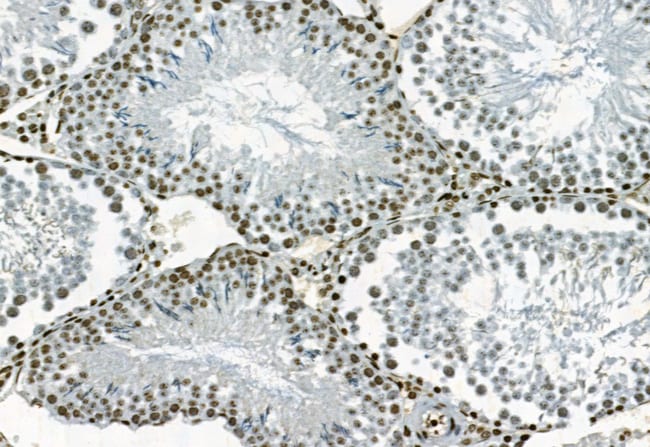
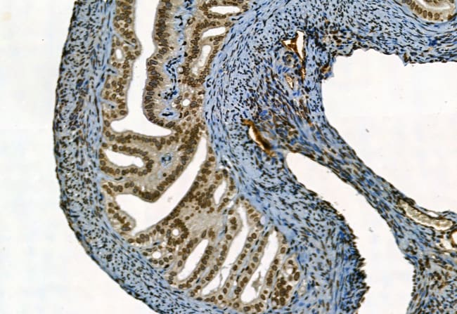
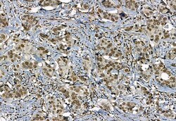
Antibody detects endogenous levels of TBK1 only when phosphorylated at Ser172.
Specifications
Specifications
| Antigen | Phospho-TBK1 (Ser172) |
| Applications | Immunohistochemistry (Paraffin), Western Blot |
| Classification | Polyclonal |
| Concentration | 1 mg/mL |
| Conjugate | Unconjugated |
| Formulation | PBS with 50% glycerol and 0.02% sodium azide; pH 7.4 |
| Gene | TBK1 |
| Gene Accession No. | Q9UHD2, Q9WUN2 |
| Gene Alias | 1200008B05Rik; AI462036; AW048562; FLJ11330; FTDALS4; NAK; NF-kappa-B-activating kinase; NF-kB-activating kinase; serine/threonine protein kinase TBK1; serine/threonine-protein kinase TBK1; T2K; TANK binding kinase 1; TANK-binding kinase 1; tbk; TBK1 |
| Gene Symbols | TBK1 |
| Show More |
Safety and Handling
By clicking Submit, you acknowledge that you may be contacted by Fisher Scientific in regards to the feedback you have provided in this form. We will not share your information for any other purposes. All contact information provided shall also be maintained in accordance with our Privacy Policy.