Learn More
Invitrogen™ Phospho-TrkA (Tyr680, Tyr681) Polyclonal Antibody

Description
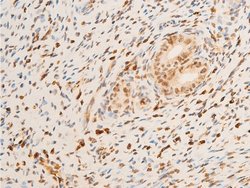
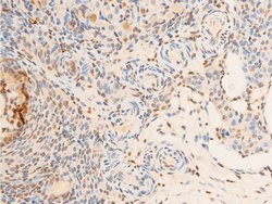
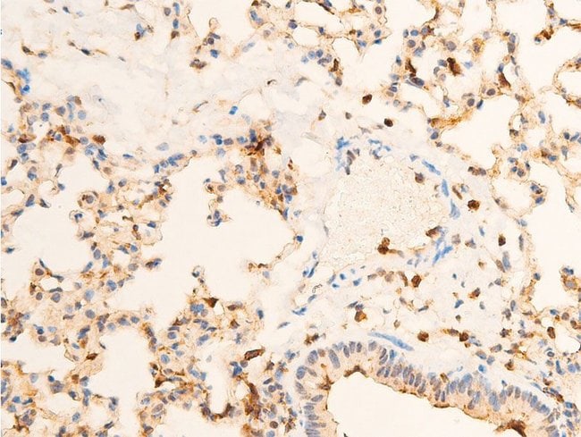
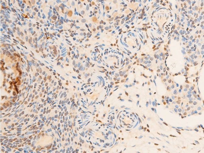
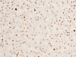
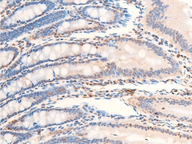
Antibody detects endogenous levels of TrkA only when phosphorylated at Tyrosine 680+Tyrosine 681.
Specifications
Specifications
| Antigen | Phospho-TrkA (Tyr680, Tyr681) |
| Applications | Immunohistochemistry (Paraffin), Western Blot |
| Classification | Polyclonal |
| Concentration | 1 mg/mL |
| Conjugate | Unconjugated |
| Formulation | PBS with 50% glycerol and 0.02% sodium azide; pH 7.4 |
| Gene | Ntrk1 |
| Gene Accession No. | P04629, P35739, Q3UFB7 |
| Gene Alias | C80751; DKFZp781I14186; EC 2.7.10.1; gp140trk; high affinity nerve growth factor receptor; kinase TrkA; MTC; neurotrophic receptor tyrosine kinase 1; Neurotrophic tyrosine kinase receptor type 1; neurotrophic tyrosine kinase, receptor, type 1; Ntrk1; Oncogene TRK; p140-TrkA; Slow nerve growth factor receptor; Tkr; TRK; TRK1; TRK1-transforming tyrosine kinase protein; Trka; Trk-A; TrkA neurotrophin receptor; trkA proto-oncogene receptor; tropomyosin-related kinase A; Tyrosine kinase receptor; Tyrosine kinase receptor A |
| Gene Symbols | Ntrk1 |
| Show More |
Safety and Handling
By clicking Submit, you acknowledge that you may be contacted by Fisher Scientific in regards to the feedback you have provided in this form. We will not share your information for any other purposes. All contact information provided shall also be maintained in accordance with our Privacy Policy.