Learn More
Invitrogen™ Phospholamban Polyclonal Antibody

Description
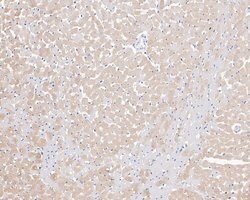
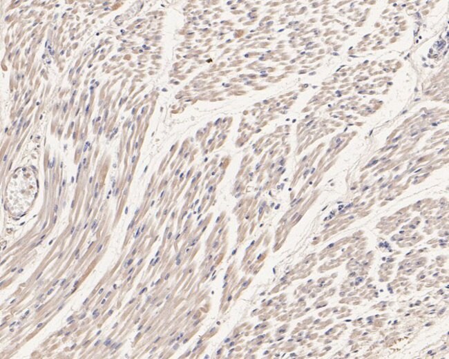
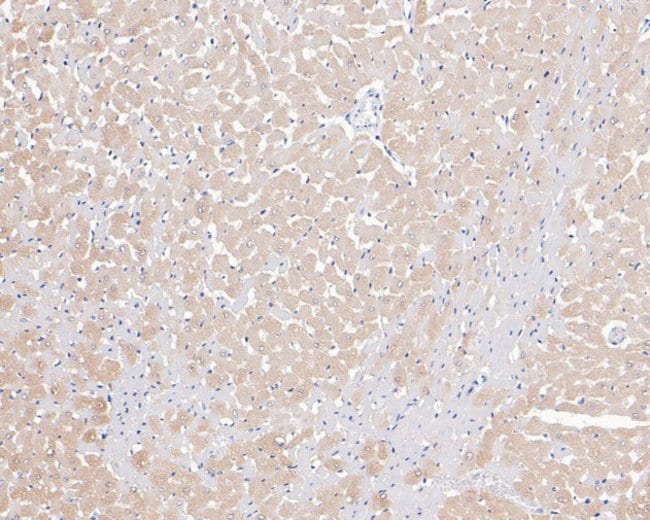
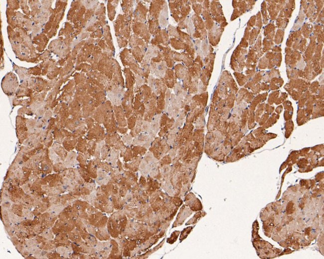
Positive Control: Rat heart tissue lysate, human heart tissue lysate, SH-SY5Y, rat heart tissue, human fetal skeletal muscle tissue, mouse heart tissue. Subcellular Location: Endoplasmic reticulum membrane, Mitochondrion membrane, Sarcoplasmic reticulum membrane, Membrane.
Specifications
Specifications
| Antigen | Phospholamban |
| Applications | Immunohistochemistry (Paraffin), Western Blot, Immunocytochemistry |
| Classification | Polyclonal |
| Concentration | 1 mg/mL |
| Conjugate | Unconjugated |
| Formulation | TBS with 0.2% BSA, 50% glycerol and 0.05% sodium azide; pH 7.4 |
| Gene | PLN |
| Gene Accession No. | P26678, P61014, P61016 |
| Gene Alias | cardiac CMH18; Cardiac phospholamban; CMD1P; CMH18; phospholamban; Plb; Plm; PLN; unnamed protein product |
| Gene Symbols | PLN |
| Show More |
By clicking Submit, you acknowledge that you may be contacted by Fisher Scientific in regards to the feedback you have provided in this form. We will not share your information for any other purposes. All contact information provided shall also be maintained in accordance with our Privacy Policy.