Learn More
Invitrogen™ PKC alpha Polyclonal Antibody

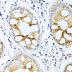
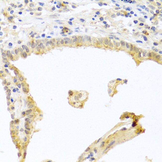
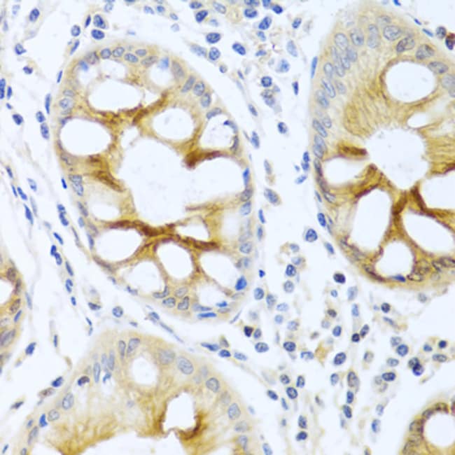
Description
Positive Samples: Jurkat, K-562; Cellular Location: Cell membrane, Cytoplasm, Mitochondrion membrane, Nucleus, Peripheral membrane protein Immunogen sequence: MTKHPAKRLG CGPEGERDVR EHAFFRRIDW EKLENREIQP PFKPKVCGKG AENFDKFFTR GQPVLTPPDQ LVIANIDQSD FEGFSYVNPQ FVHPILQSAV.
Specifications
Specifications
| Antigen | PKC alpha |
| Applications | ELISA, Immunohistochemistry (Paraffin), Western Blot |
| Classification | Polyclonal |
| Concentration | 0.18 mg/mL |
| Conjugate | Unconjugated |
| Formulation | PBS with 50% glycerol and 0.02% sodium azide; pH 7.3 |
| Gene | PRKCA |
| Gene Accession No. | P05696, P17252, P20444 |
| Gene Alias | AAG6; aging-associated gene 6; AI875142; EC 2.7.11.13; FHC; FTH; FTHL6; im:7139045; kinase PKC-alpha; KPCA; MGC104426; PIG15; PKC III; Pkca; PKC-A; PKC-alpha; PKC-III; PKRCA; PLIF; PRKACA; Prkca; prkcaa; protein kinase C; protein kinase C alpha; protein kinase C alpha type; protein kinase C alpha type; protein kinase C, alpha, a; protein kinase C, alpha; protein kinase C, alpha, a; protein kinase c-alpha; si:dkey-8l19.1; Unknown (protein for IMAGE:7139045); unnamed protein product |
| Gene Symbols | PRKCA |
| Show More |
Safety and Handling
By clicking Submit, you acknowledge that you may be contacted by Fisher Scientific in regards to the feedback you have provided in this form. We will not share your information for any other purposes. All contact information provided shall also be maintained in accordance with our Privacy Policy.