Promotional price valid on web orders only. Your contract pricing may differ. Interested in signing up for a dedicated account number?
Learn More
Learn More
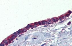
Invitrogen™ PLUNC Polyclonal Antibody

Rabbit Polyclonal Antibody
Supplier: Invitrogen™ PA542187
Description
Peptide sequence: GLNNIIDIKV TDPQLLELGL VQSPDGHRLY VTIPLGIKLQ VNTPLVGASL Sequence homology: Cow: 100%; Dog: 100%; Goat: 100%; Guinea Pig: 100%; Human: 100%; Mouse: 100%; Rabbit: 93%; Rat: 100%.
PLUNC is the human homolog of murine plunc and is specifically expressed in the upper airways and nasopharyngeal regions. The exact biological function of this protein is not known, however, it has been suggested to be involved in inflammatory responses to irritants in the upper airways. It may also serve as a potential molecular marker for detection of micrometastasis in non-small-cell lung cancer. This gene is the human homolog of murine plunc, and like the mouse gene, is specifically expressed in the upper airways and nasopharyngeal regions. The exact biological function of this gene is not known, however, it has been suggested to be involved in inflammatory responses to irritants in the upper airways. It may also serve as a potential molecular marker for detection of micrometastasis in non-small-cell lung cancer. Multiple transcript variants resulting from alternative splicing in the 3' UTR have been detected, but the full-length nature of only two is known.
Specifications
| PLUNC | |
| Polyclonal | |
| Unconjugated | |
| Bpifa1 | |
| bA49G10.5; BPI fold containing family A member 1; BPI fold containing family A member 1 protein; BPI fold containing family A, member 1; BPI fold-containing family A member 1; BPIFA1; ES cell-related protein; ligand-binding protein RYA3; LPLUNC3; lung-specific protein X; LUNX; LUNX-like protein; LUNXNASG; NASG; Nasopharyngeal carcinoma-related protein; palate lung and nasal epithelium clone protein; palate, lung and nasal epithelium associated; palate, lung and nasal epithelium carcinoma associated; palate, lung, and nasal epithelium associated; palate, lung, and nasal epithelium carcinoma associated protein; palate, lung, and nasal epithelium clone; palate, lung, and nasal epithelium expressed transcript; PLUNC; protein Plunc; secretory protein in upper respiratory tracts; short palate; Short PLUNC1; SPLUNC1; SPLUNC1SPURT; SPURT; tracheal epithelium enriched protein; tracheal epithelium-enriched protein; UNQ787/PRO1606; Von Ebner protein Hl | |
| Rabbit | |
| Affinity Chromatography | |
| RUO | |
| 51297 | |
| -20°C, Avoid Freeze/Thaw Cycles | |
| Liquid |
| Immunohistochemistry, Western Blot | |
| 0.5 mg/mL | |
| PBS with 2% sucrose and 0.09% sodium azide | |
| Q9NP55 | |
| Bpifa1 | |
| Synthetic peptide directed towards the middle region of human PLUNC. | |
| 100 μL | |
| Primary | |
| Human | |
| Antibody | |
| IgG |
Safety and Handling
WARNING: Cancer - www.P65Warnings.ca.gov
Product Content Correction
Your input is important to us. Please complete this form to provide feedback related to the content on this product.
Product Title
Spot an opportunity for improvement?Share a Content Correction