Learn More
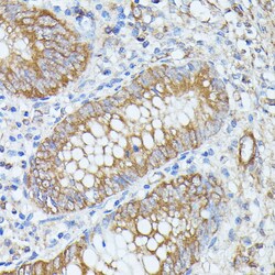
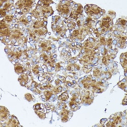
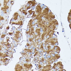
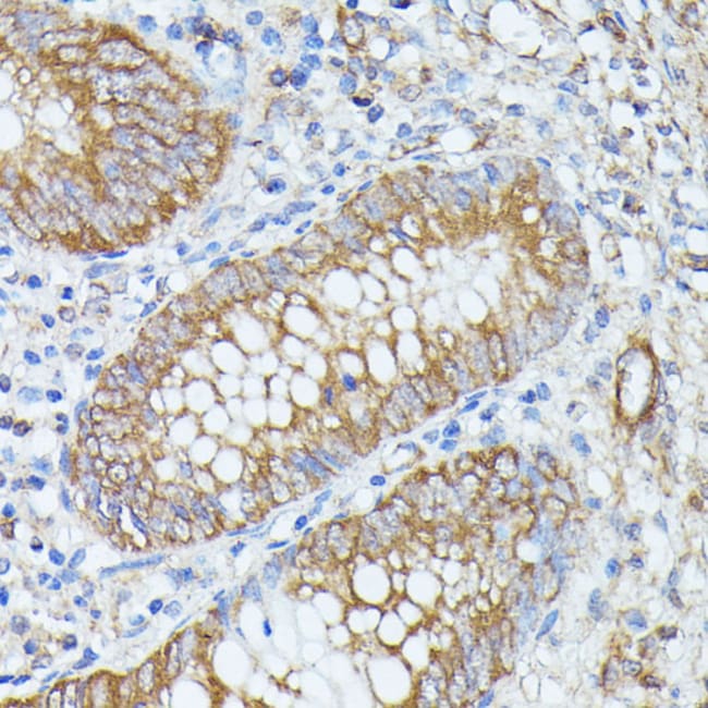
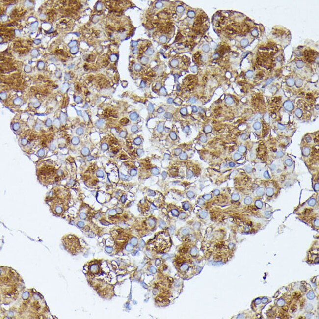
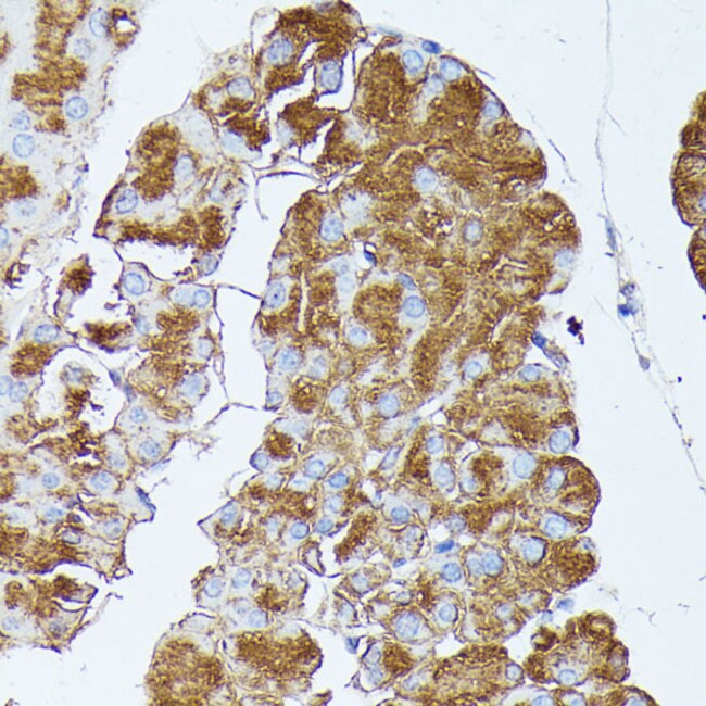
Invitrogen™ PNLIPRP1 Polyclonal Antibody

Description
PNLIPRP1 Polyclonal Antibody for ELISA, ICC/IF, IHC (P), Western Blot
Specifications
Specifications
| Antigen | PNLIPRP1 |
| Applications | ELISA, Immunohistochemistry (Paraffin), Western Blot, Immunocytochemistry |
| Classification | Polyclonal |
| Concentration | 1.91 mg/mL |
| Conjugate | Unconjugated |
| Formulation | PBS with 50% glycerol and 0.01% thimerosal; pH 7.3 |
| Gene | PNLIPRP1 |
| Gene Accession No. | P54315, P54316, Q5BKQ4 |
| Gene Alias | inactive pancreatic lipase-related protein 1; pancreatic lipase related protein 1; pancreatic lipase-related protein 1; Plrp1; PL-RP1; Pnliprp1 |
| Gene Symbols | PNLIPRP1 |
| Show More |
By clicking Submit, you acknowledge that you may be contacted by Fisher Scientific in regards to the feedback you have provided in this form. We will not share your information for any other purposes. All contact information provided shall also be maintained in accordance with our Privacy Policy.