Promotional price valid on web orders only. Your contract pricing may differ. Interested in signing up for a dedicated account number?
Learn More
Learn More
Invitrogen™ POLR3F Polyclonal Antibody

Rabbit Polyclonal Antibody
Supplier: Invitrogen™ PA520589
Description
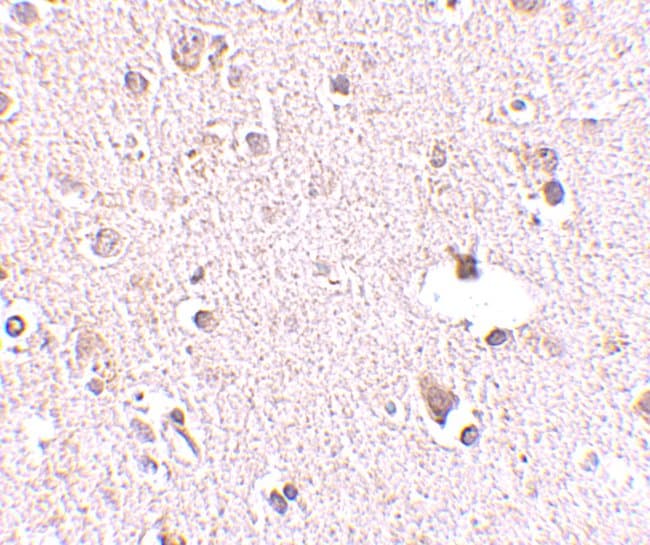
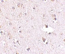
A suggested positive control is human brain tissue lysate. PA5-20589 can be used with blocking peptide PEP-0709.
The human POLR3F is a component of RNA III polymerase. RNA polymerase III transcribes many essential, small, noncoding RNAs, including the 5S rRNAs and tRNAs. While most pol III-transcribed genes are found scattered throughout the linear chromosome maps or in multiple linear clusters, there is increasing evidence that many of these genes prefer to be spatially clustered, often at or near the nucleolus. This association could create an environment that fosters the coregulation of transcription by pol III with transcription of the large ribosomal RNA repeats by RNA polymerase I (pol I) within the nucleolus. Given the high number of pol III-transcribed genes in all eukaryotic genomes, the spatial organization of these genes is likely to affect a large portion of the other genes in a genome. POLR3F has also been recently identified as an HIV dependency factor (HDF), suggesting that POLR3F may be an important drug target in HIV treatment. At least two isoforms of POLR3F are known to exist.
Specifications
POLR3F | |
Polyclonal | |
Unconjugated | |
POLR3F | |
2810411G20Rik; 3010019O03Rik; 3110032A07Rik; DNA-directed RNA polymerase III subunit F; DNA-directed RNA polymerase III subunit RPC6; Polr3f; polymerase (RNA) III (DNA directed) polypeptide F; polymerase (RNA) III (DNA directed) polypeptide F, 39 kDa; polymerase (RNA) III subunit F; RNA polymerase III 39 kDa subunit; RNA polymerase III C39 subunit; RNA polymerase III subunit C6; RNA polymerase III subunit F; RPC39; RPC6 | |
Rabbit | |
Antigen affinity chromatography | |
RUO | |
10621, 311487, 70408 | |
Maintain refrigerated at 2°C to 8°C for up to 3 months. For long term storage store at -20°C | |
Liquid |
Immunohistochemistry, Western Blot | |
1 mg/mL | |
PBS with 0.02% sodium azide | |
Q921X6, Q9H1D9 | |
POLR3F | |
A 21 amino acid peptide from near the amino terminus of human POLR3F. | |
100 μg | |
Primary | |
Human, Mouse, Rat | |
Antibody | |
IgG |
Safety and Handling
WARNING: Cancer - www.P65Warnings.ca.gov
Product Content Correction
Your input is important to us. Please complete this form to provide feedback related to the content on this product.
Product Title
Spot an opportunity for improvement?Share a Content Correction