Learn More
Invitrogen™ PPAT Polyclonal Antibody

Description
Immunogen sequence: IGHTRYATTG KCELENCQPF VVETLHGKIA VAHNGELVNA ARLRKKLLRH GIGLSTSSDS EMITQLLAYT PPQEQDDTPD WVARIKNLMK EAPTA Highest antigen sequence indentity to the following orthologs: Mouse - 96%, Rat - 99%.
Specifications
Specifications
| Antigen | PPAT |
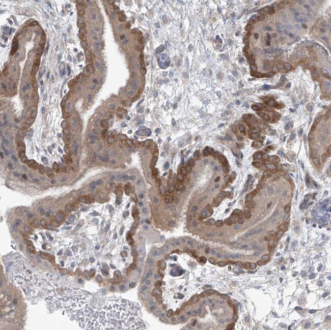
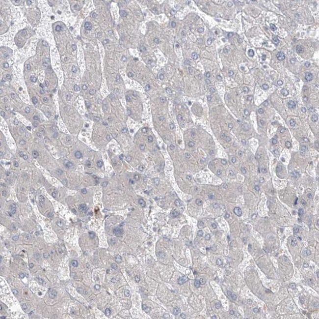
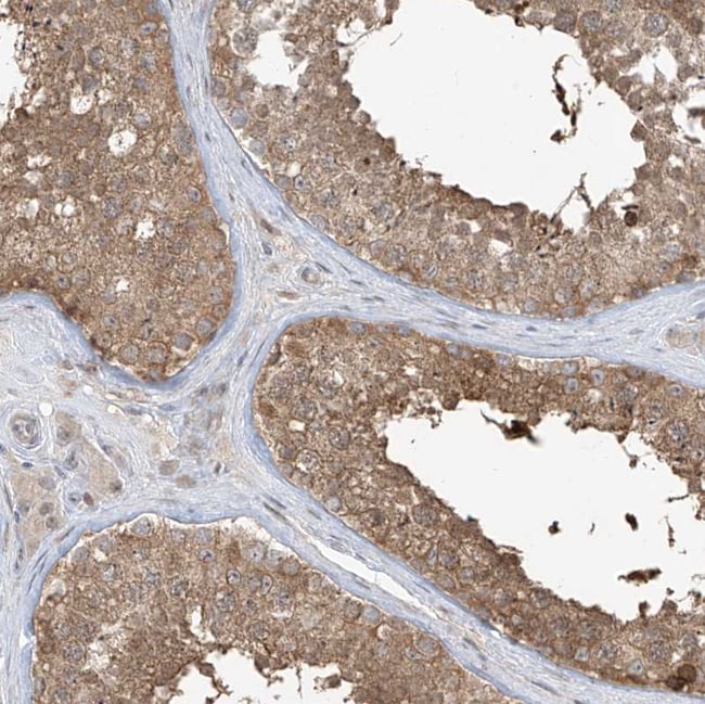
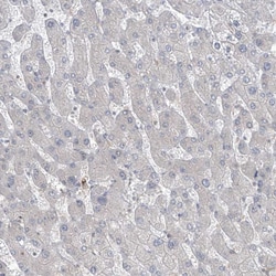
| Applications | Immunohistochemistry (Paraffin), Western Blot |
| Classification | Polyclonal |
| Concentration | 0.1 mg/mL |
| Conjugate | Unconjugated |
| Formulation | PBS with 40% glycerol and 0.02% sodium azide; pH 7.2 |
| Gene | Ppat |
| Gene Accession No. | Q06203 |
| Gene Alias | 5730454C12Rik; AA408689; AA675351; AI507113; Amidophosphoribosyltransferase; amidophosphoribosyltransferase proprotein; amidophosphoribosyltransferase-like protein; ATASE; C79945; EC 2.4.2.14; EGK_15868; glutamine phosphoribosylpyrophosphatate amidotransferase; glutamine phosphoribosylpyrophosphate amidotransferase; glutamine PRPP amidotransferase; GPAT; phosphoribosyl pyrophosphate amidotransferase; PPAT; PRAT |
| Gene Symbols | Ppat |
| Show More |
Safety and Handling
By clicking Submit, you acknowledge that you may be contacted by Fisher Scientific in regards to the feedback you have provided in this form. We will not share your information for any other purposes. All contact information provided shall also be maintained in accordance with our Privacy Policy.