Promotional price valid on web orders only. Your contract pricing may differ. Interested in signing up for a dedicated account number?
Learn More

PSF/SFPQ Rabbit anti-Human, Mouse, Polyclonal, Bethyl Laboratories

Catalog No. 501560084
Encompass_Preferred
Change view
Click to view available options
Quantity:
100 μL
1 product options available for selection
Product selection table with 1 available options. Use arrow keys to navigate and Enter or Space to select.
Catalog No. Quantity
50-156-0084 100 μL
Use arrow keys to navigate between rows. Press Enter or Space to select a product option. 1 options available.
1 options
Catalog No. 50-156-0084 Supplier Bethyl Laboratories, Inc Supplier No. A301322A
Only null left
Add to Cart
Add to Cart

Rabbit Polyclonal Antibody

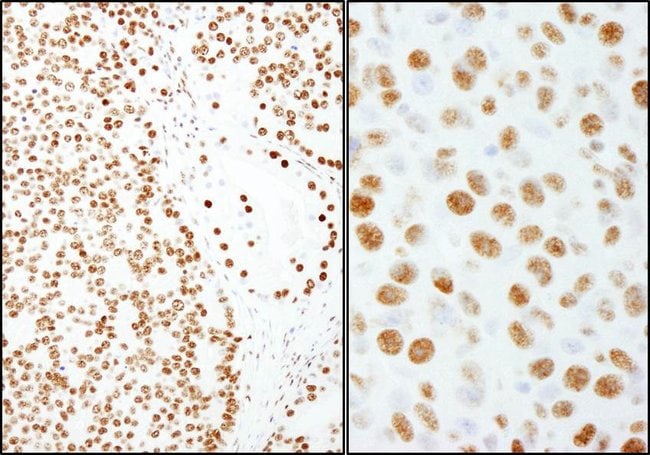
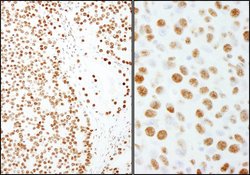
The recommended shelf life for this product is 1 year from date of receipt. Application Note: For IHC, epitope retrieval with citrate buffer pH 6.0 is recommended for FFPE tissue sections.

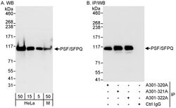
SFPQ, also named PSF, encodes a nuclear factor implicated in the splicing and regulation of gene expression. SFPQ probably forms a heteromer with NONO and participates in DNA pairing and DNA break repair program. Very recently SFPQ was identified as a downstream target of tau, complete nuclear depletion and cytoplasmic accumulation of SFPQ were shown in the neurons and astrocytes of brains with Alzheimer′s disease (AD), more strikingly, reduced SFPQ levels may progress together with tau pathology, these observation strongly suggests the important role of SFPQ pathology in neurodegenerative diseases including AD. SFPQ protein may appears as 47 kDa, 52 kDa or 100 kDa molecules in various cell types.

Specifications

Antigen PSF/SFPQ
Applications Immunohistochemistry, Immunoprecipitation, Western Blot
Classification Polyclonal
Concentration 0.2 mg/ml
Conjugate Unconjugated
Formulation TBS with 0.1% BSA and 0.09% sodium azide
Gene SFPQ
Gene Accession No. P23246, Q8VIJ6
Gene Alias POMP100, PSF
Gene Symbols SFPQ
Host Species Rabbit
Immunogen Between 657 and 707
Purification Method Antigen affinity chromatography
Quantity 100 μL
Regulatory Status RUO
Primary or Secondary Primary
Gene ID (Entrez) 6421, 71514
Target Species Human, Mouse
Content And Storage 4° C
Product Type Antibody
Form Liquid
Isotype IgG
Show More Show Less
Product Title
Select an issue

By clicking Submit, you acknowledge that you may be contacted by Fisher Scientific in regards to the feedback you have provided in this form. We will not share your information for any other purposes. All contact information provided shall also be maintained in accordance with our Privacy Policy.