Promotional price valid on web orders only. Your contract pricing may differ. Interested in signing up for a dedicated account number?
Learn More
Learn More
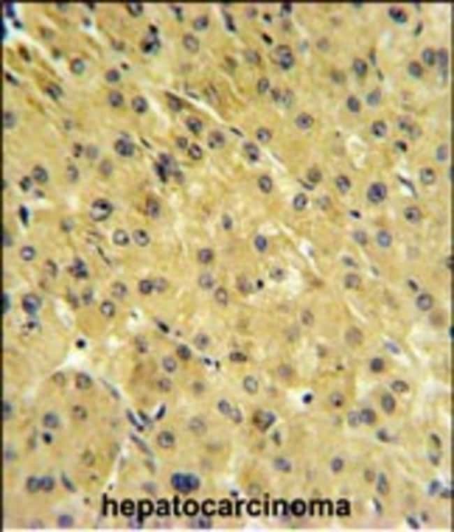
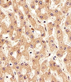
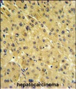
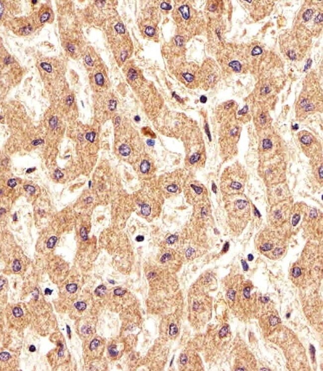
Invitrogen™ PSMAL Polyclonal Antibody

Rabbit Polyclonal Antibody
Supplier: Invitrogen™ PA524990
Description
PSMAL Polyclonal Antibody for Western Blot, IHC (P), Flow
PSMAL has both folate hydrolase and N-acetylated-alpha-linked-acidic dipeptidase (NAALADase) activity. PSMAL exhibits a dipeptidyl-peptidase IV type activity.
Specifications
| PSMAL | |
| Polyclonal | |
| Unconjugated | |
| FOLH1B | |
| cell growth-inhibiting gene 26 protein; folate hydrolase 1B; folate hydrolase 2; folate hydrolase pseudogene; FOLH1B; FOLH2; FOLHP; GCP3; GCPIII; GIG26; glutamate carboxypeptidase III; NAALADase; N-acetylated-alpha-linked-acidic dipeptidase; Prostate-specific membrane antigen-like protein; PSM; PSMAL; PSMA-LIKE; Putative folate hydrolase 1B; putative N-acetylated-alpha-linked acidic dipeptidase | |
| Rabbit | |
| Antigen Affinity Chromatography, Protein A | |
| RUO | |
| 219595 | |
| Store at 4°C short term. For long term storage, store at -20°C, avoiding freeze/thaw cycles. | |
| Liquid |
| Flow Cytometry, Immunohistochemistry (Paraffin), Western Blot | |
| 0.25 mg/mL | |
| PBS with 0.09% sodium azide; pH 7.4 | |
| Q9HBA9 | |
| FOLH1B | |
| KLH conjugated synthetic peptide between 155-183 amino acids from the central region of human PSMAL. | |
| 400 μL | |
| Primary | |
| Human | |
| Antibody | |
| IgG |
Safety and Handling
WARNING: Cancer - www.P65Warnings.ca.gov
Product Content Correction
Your input is important to us. Please complete this form to provide feedback related to the content on this product.
Product Title
Spot an opportunity for improvement?Share a Content Correction