Learn More
Invitrogen™ PTK7 Polyclonal Antibody

Description
Immunogen sequence: TAIVFIKQPS SQDALQGRRA LLRCEVEAPG PVHVYWLLDG APVQDTERRF AQGSSLSFAA VDRLQDSGTF QCVARDDVTG EEARSANASF NIKWIEAGPV VLKHPASEAE IQPQTQVTLR CHIDGHPRPT YQWFR Highest antigen sequence indentity to the following orthologs: Rat - 29%, Mouse - 93%.
Specifications
Specifications
| Antigen | PTK7 |
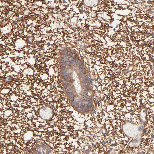
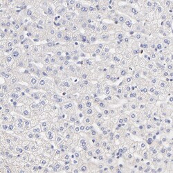
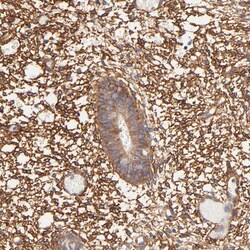
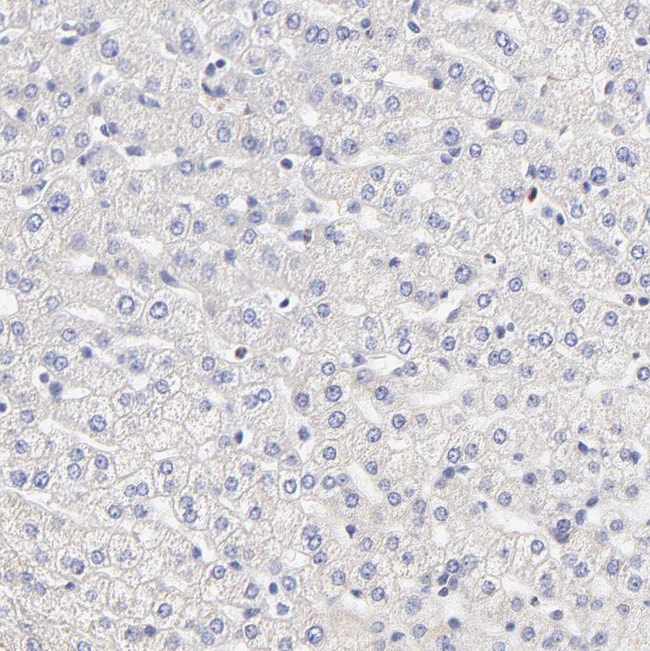
| Applications | Immunohistochemistry (Paraffin), Western Blot |
| Classification | Polyclonal |
| Concentration | 0.2 mg/mL |
| Conjugate | Unconjugated |
| Formulation | PBS with 40% glycerol and 0.02% sodium azide; pH 7.2 |
| Gene | Ptk7 |
| Gene Accession No. | Q13308 |
| Gene Alias | 8430404F20Rik; CCK4; CCK-4; chz; Colon carcinoma kinase 4; inactive tyrosine-protein kinase 7; mPTK7/CCK4; protein chuzhoi; protein tyrosine kinase 7; protein tyrosine kinase 7 (inactive); protein-tyrosine kinase 7; Pseudo tyrosine kinase receptor 7; Ptk7; PTK7 protein tyrosine kinase 7; receptor tyrosine kinase-like protein; serum response factor; Srf; Tyrosine-protein kinase-like 7 |
| Gene Symbols | Ptk7 |
| Show More |
Safety and Handling
By clicking Submit, you acknowledge that you may be contacted by Fisher Scientific in regards to the feedback you have provided in this form. We will not share your information for any other purposes. All contact information provided shall also be maintained in accordance with our Privacy Policy.