Learn More
Invitrogen™ PTPN23 Polyclonal Antibody

Description
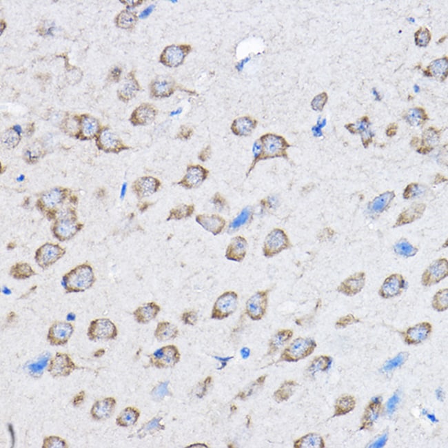
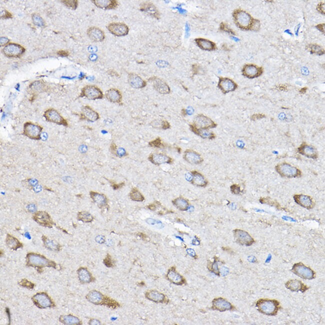
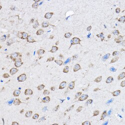
Immunogen sequence: DSNRVVLRSG KDDYINASCV EGLSPYCPPL VATQAPLPGT AADFWLMVHE QKVSVIVMLV SEAEMEKQKV ARYFPTERGQ PMVHGALSLA LSSVRSTETH VERVLSLQFR DQSLKRSLVH LHFPTWPELG LPDSPSNLLR FIQEVHAHYL HQRPLHTPII VHCSSGVGRT GAFALLYAAV QEVEAGNGIP ELPQLVRRMR QQRKHMLQEK LHLRFCYEAV V; Positive Samples: Mouse eye, Rat kidney; Cellular Location: Cytoplasm, Cytoplasmic vesicle, Early endosome, Endosome, Nucleus, cilium basal body, cytoskeleton.
Specifications
Specifications
| Antigen | PTPN23 |
| Applications | ELISA, Immunohistochemistry (Paraffin), Western Blot |
| Classification | Polyclonal |
| Concentration | 0.51 mg/mL |
| Conjugate | Unconjugated |
| Formulation | PBS with 50% glycerol and 0.02% sodium azide; pH 7.3 |
| Gene | PTPN23 |
| Gene Accession No. | O88902, Q6PB44 |
| Gene Alias | AI462446; HDPTP; HD-PTP; His domain-containing protein tyrosine phosphatase; Kiaa1471; Protein tyrosine phosphatase TD14; protein tyrosine phosphatase, non-receptor type 23; PTPN23; PTP-TD14; Tyrosine-protein phosphatase non-receptor type 23 |
| Gene Symbols | PTPN23 |
| Show More |
Safety and Handling
By clicking Submit, you acknowledge that you may be contacted by Fisher Scientific in regards to the feedback you have provided in this form. We will not share your information for any other purposes. All contact information provided shall also be maintained in accordance with our Privacy Policy.