Learn More
Invitrogen™ PUM1 Recombinant Rabbit Monoclonal Antibody (JG37-75)

Description
This product is predicted to work in Immunoprecipitation at a dilution of 1:10-1:50.
Specifications
Specifications
| Antigen | PUM1 |
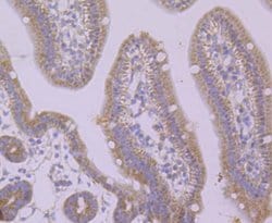
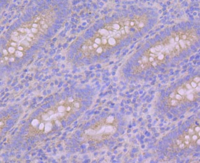
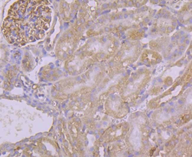
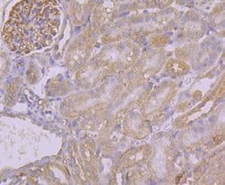
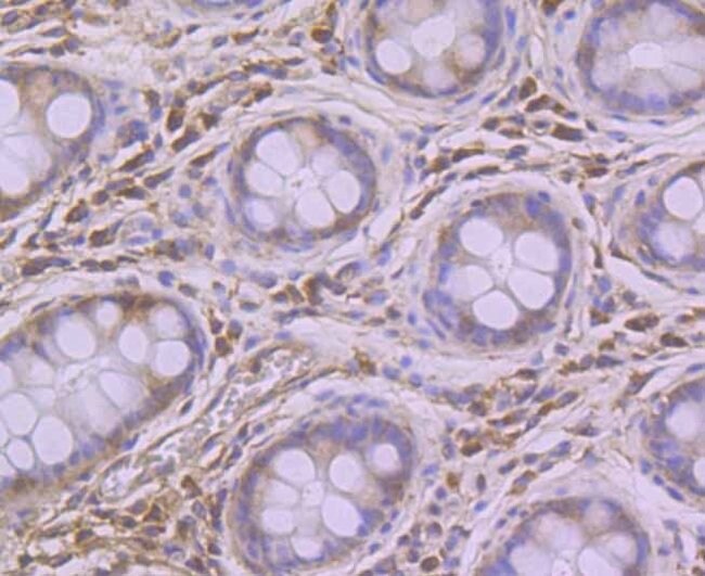
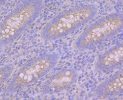
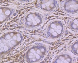
| Applications | Flow Cytometry, Immunohistochemistry (Paraffin), Western Blot, Immunocytochemistry |
| Classification | Recombinant Monoclonal |
| Clone | JG37-75 |
| Concentration | 1 mg/mL |
| Conjugate | Unconjugated |
| Formulation | TBS with 0.05% BSA, 40% glycerol and 0.05% sodium azide; pH 7.4 |
| Gene | PUM1 |
| Gene Accession No. | Q14671, Q80U78 |
| Gene Alias | AA517475; HsPUM; KIAA0099; mKIAA0099; PUM1; PUMH; PUMH1; pumilio 1; pumilio homolog 1; pumilio RNA binding family member 1; pumilio RNA-binding family member 1; pumilio-1; PUML1; Pumm |
| Show More |
By clicking Submit, you acknowledge that you may be contacted by Fisher Scientific in regards to the feedback you have provided in this form. We will not share your information for any other purposes. All contact information provided shall also be maintained in accordance with our Privacy Policy.