Promotional price valid on web orders only. Your contract pricing may differ. Interested in signing up for a dedicated account number?
Learn More
Learn More
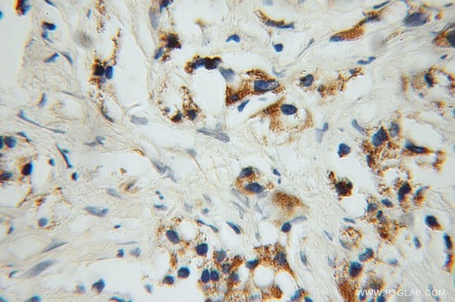
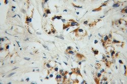
PYCR1 Rabbit anti-Human, Mouse, Rat, Zebrafish, Polyclonal, Proteintech

Rabbit Polyclonal Antibody
Supplier: Proteintech Group Inc 131081AP150UL

Description
This gene encodes an enzyme that catalyzes the NAD(P)H-dependent conversion of pyrroline-5-carboxylate to proline. This enzyme may also play a physiologic role in the generation of NADP(+) in some cell types. The protein forms a homopolymer and localizes to the mitochondrion. Alternate splicing results in two transcript variants encoding different isoforms.Specifications
PYCR1 | |
Polyclonal | |
Unconjugated | |
PYCR1 | |
P5C, P5C reductase 1, P5CR, P5CR 1, PIG45, PP222, PYCR, PYCR1 | |
Rabbit | |
Antigen Affinity Chromatography | |
RUO | |
103908621, 209027, 287877, 5831 | |
-20°C | |
Liquid |
Immunocytochemistry, Immunofluorescence, Immunohistochemistry (Paraffin), Immunoprecipitation, Western Blot | |
0.31 mg/mL | |
PBS with 50% glycerol and 0.02% sodium azide; pH 7.3 | |
P32322, Q922W5 | |
Pycr1 | |
PYCR1 Fusion Protein Ag3764 | |
150 μL | |
Primary | |
Human, Mouse, Rat, Zebrafish | |
Antibody | |
IgG |
Product Content Correction
The Fisher Scientific Encompass Program offers items which are not part of our distribution portfolio. These products typically do not have pictures or detailed descriptions. However, we are committed to improving your shopping experience. Please use the form below to provide feedback related to the content on this product.
Product Title
Spot an opportunity for improvement?Share a Content Correction