Learn More
Invitrogen™ QKI Recombinant Rabbit Monoclonal Antibody (JE55-71)

Description
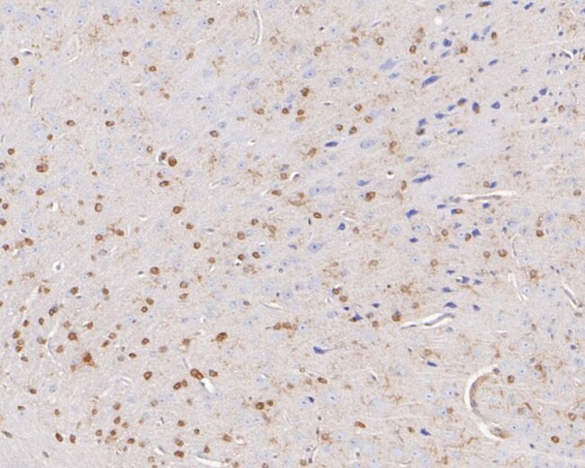
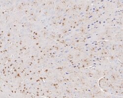
Positive Control: K562 cell lysate, Hela cell lysate, A549, mouse brain tissue. Subcellular Location: Nucleus, Cytoplasm.
Specifications
Specifications
| Antigen | QKI |
| Applications | Immunohistochemistry (Paraffin), Western Blot, Immunocytochemistry |
| Classification | Recombinant Monoclonal |
| Clone | JE55-71 |
| Concentration | 1 mg/mL |
| Conjugate | Unconjugated |
| Formulation | TBS with 40% glycerol and 0.05% sodium azide; pH 7.4 |
| Gene | QKI |
| Gene Accession No. | Q96PU8, Q9QYS9 |
| Gene Alias | 1110003F05Rik; 1500005P18; DKFZp586I0923; HKQ; homolog of mouse quaking QKI (KH domain RNA binding protein); Hqk; hqkI; l(17)-1Wis; l17Wis1; lethal, Chr 17, U Wisconsin 1; MqkI; Protein quaking; protein quaking-like; Qk; QK1; QK3; Qka1; Qki; QKI, KH domain containing RNA binding; QKI, KH domain containing, RNA binding; QKI-5 protein; quaking; quaking homolog, KH domain RNA binding; RNA Binding (QKI); RNA binding protein HQK; rqkI |
| Show More |
Safety and Handling
By clicking Submit, you acknowledge that you may be contacted by Fisher Scientific in regards to the feedback you have provided in this form. We will not share your information for any other purposes. All contact information provided shall also be maintained in accordance with our Privacy Policy.