Promotional price valid on web orders only. Your contract pricing may differ. Interested in signing up for a dedicated account number?
Learn More

AIG1 Rabbit anti-Human, Polyclonal Antibody, Abnova™

Catalog No. 89119270 Shop All Abnova Corporation Products
Change view
Click to view available options
Quantity:
100 μg
1 product options available for selection
Product selection table with 1 available options. Use arrow keys to navigate and Enter or Space to select.
Catalog No. Quantity
89-119-270 100 μg
Use arrow keys to navigate between rows. Press Enter or Space to select a product option. 1 options available.
1 options
Catalog No. 89-119-270 Supplier Abnova Corporation Supplier No. PAB17608
Only null left
Add to Cart
Add to Cart

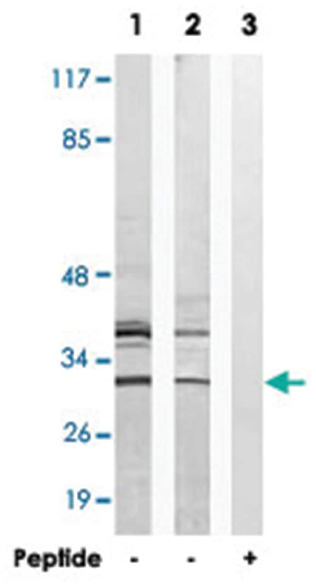
Rabbit polyclonal antibody raised against synthetic peptide of AIG1.

Specifications

Antigen AIG1
Applications ELISA, Western Blot
Classification Polyclonal
Conjugate Unconjugated
Description Rabbit polyclonal antibody raised against synthetic peptide of AIG1.
Dilution Western Blot (1:500-1:1000) ELISA (1:40000) The optimal working dilution should be determined by the end user.
Formulation In PBS, pH 7.4 (150mM NaCl, 0.02% sodium azide, 50% glycerol)
Gene AIG1
Gene Accession No. Q9NVV5
Gene Alias AIG-1/DKFZp686F03136/FLJ10485/dJ95L4.1
Gene Symbols AIG1
Host Species Rabbit
Immunogen A synthetic peptide corresponding to internal of human AIG1.
Quantity 100 μg
Regulatory Status RUO
Primary or Secondary Primary
Gene ID (Entrez) 51390
Test Specificity This antibody detects endogenous levels of total AIG1 protein.
Target Species Human
Content And Storage Store at -20°C.
Aliquot to avoid repeated freezing and thawing.
Form Liquid
Show More Show Less

For Research Use Only

Product Title
Select an issue

By clicking Submit, you acknowledge that you may be contacted by Fisher Scientific in regards to the feedback you have provided in this form. We will not share your information for any other purposes. All contact information provided shall also be maintained in accordance with our Privacy Policy.