Promotional price valid on web orders only. Your contract pricing may differ. Interested in signing up for a dedicated account number?
Learn More

ERAP1 Rabbit anti-Hamster, Human, Polyclonal Antibody, Abnova™

Catalog No. 89127224 Shop All Abnova Corporation Products
Change view
Click to view available options
Quantity:
50 μg
1 product options available for selection
Product selection table with 1 available options. Use arrow keys to navigate and Enter or Space to select.
Catalog No. Quantity
89-127-224 50 μg
Use arrow keys to navigate between rows. Press Enter or Space to select a product option. 1 options available.
1 options
Catalog No. 89-127-224 Supplier Abnova Corporation Supplier No. PAB25610
Only null left
Add to Cart
Add to Cart

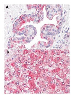
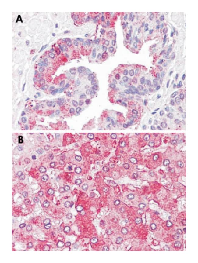
Rabbit polyclonal antibody raised against synthetic peptide of ERAP1.

Aminopeptidases play a role in the metabolism of several peptides that may be involved in blood pressure and the pathogenesis of essential hypertension (MIM 145500). Adipocyte-derived leucine aminopeptidase (ALAP) is a member of the M1 family of zinc metallopeptidases.[supplied by OMIM

Specifications

Antigen ERAP1
Applications Immunohistochemistry (PFA fixed)
Classification Polyclonal
Conjugate Unconjugated
Description Rabbit polyclonal antibody raised against synthetic peptide of ERAP1.
Dilution Immunohistochemistry (Formalin/PFA-fixed paraffin-embedded sections) (10-15 ug/mL) The optimal working dilution should be determined by the end user.
Formulation In PBS (0.09% sodium azide)
Gene ERAP1
Gene Alias A-LAP/ALAP/APPILS/ARTS-1/ARTS1/ERAAP/ERAAP1/KIAA0525/PILS-AP/PILSAP
Gene Symbols ERAP1
Host Species Rabbit
Immunogen A synthetic peptide corresponding to 17 amino acids at internal region of human ERAP1.
Purification Method Immunoaffinity chromatography
Quantity 50 μg
Regulatory Status RUO
Primary or Secondary Primary
Gene ID (Entrez) 51752
Test Specificity BLAST analysis of the peptide immunogen showed no homology with other human proteins.
Target Species Hamster, Human
Content And Storage Store at 4°C. For long term storage store at -80°C.
Aliquot to avoid repeated freezing and thawing.
Form Liquid
Show More Show Less

For Research Use Only

Product Title
Select an issue

By clicking Submit, you acknowledge that you may be contacted by Fisher Scientific in regards to the feedback you have provided in this form. We will not share your information for any other purposes. All contact information provided shall also be maintained in accordance with our Privacy Policy.