Promotional price valid on web orders only. Your contract pricing may differ. Interested in signing up for a dedicated account number?
Learn More

HSF1 (phospho S303), Rabbit anti-Human, Polyclonal Antibody, Abnova™

Catalog No. 89127478 Shop All Abnova Corporation Products
Change view
Click to view available options
Quantity:
100 μg
1 product options available for selection
Product selection table with 1 available options. Use arrow keys to navigate and Enter or Space to select.
Catalog No. Quantity
89-127-478 100 μg
Use arrow keys to navigate between rows. Press Enter or Space to select a product option. 1 options available.
1 options
Catalog No. 89-127-478 Supplier Abnova Corporation Supplier No. PAB25849
Only null left
Add to Cart
Add to Cart

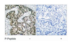
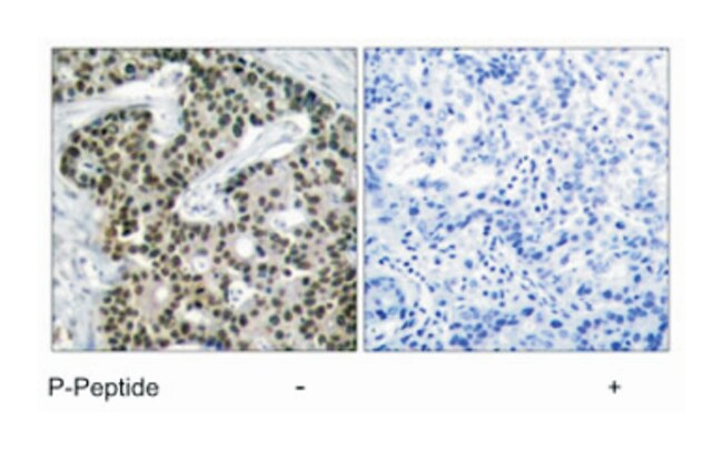
Rabbit polyclonal antibody raised against synthetic phosphopeptide of HSF1.

The product of this gene is a heat-shock transcription factor. Transcription of heat-shock genes is rapidly induced after temperature stress. Hsp90, by itself and/or associated with multichaperone complexes, is a major repressor of this gene. [provided by RefSeq

Sequence: P-P-Sp-P-P

Specifications

Antigen HSF1
Applications Immunohistochemistry (PFA fixed), Western Blot
Classification Polyclonal
Concentration 1 mg/mL
Conjugate Unconjugated
Description Rabbit polyclonal antibody raised against synthetic phosphopeptide of HSF1.
Dilution Immunohistochemistry (1:50-1:100) Western Blot (1:500-1:1000) The optimal working dilution should be determined by the end user.
Formulation In PBS (without Mg2+ and Ca2+), 150mM NaCl, pH 7.4 (50% glycerol, 0.02% sodium azide)
Gene HSF1
Gene Alias HSTF1
Gene Symbols HSF1
Host Species Rabbit
Immunogen Synthetic phosphopeptide corresponding to residues surrounding S303 of human HSF1.
Purification Method Affinity chromatography
Quantity 100 μg
Regulatory Status RUO
Primary or Secondary Primary
Gene ID (Entrez) 3297
Target Species Human
Content And Storage Store at -20°C.
Aliquot to avoid repeated freezing and thawing.
Form Liquid
Show More Show Less

For Research Use Only

Product Title
Select an issue

By clicking Submit, you acknowledge that you may be contacted by Fisher Scientific in regards to the feedback you have provided in this form. We will not share your information for any other purposes. All contact information provided shall also be maintained in accordance with our Privacy Policy.