Promotional price valid on web orders only. Your contract pricing may differ. Interested in signing up for a dedicated account number?
Learn More

MAGEA11, Rabbit, Polyclonal Antibody, Abnova™

Catalog No. 89131548 Shop All Abnova Corporation Products
Change view
Click to view available options
Quantity:
400 μL
1 product options available for selection
Product selection table with 1 available options. Use arrow keys to navigate and Enter or Space to select.
Catalog No. Quantity
89-131-548 400 μL
Use arrow keys to navigate between rows. Press Enter or Space to select a product option. 1 options available.
1 options
Catalog No. 89-131-548 Supplier Abnova Corporation Supplier No. PAB4742
Only null left
Add to Cart
Add to Cart

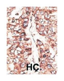
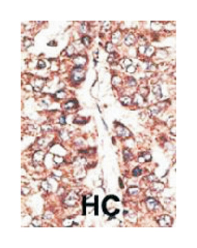
Rabbit polyclonal antibody raised against synthetic peptide of MAGEA11.

This gene is a member of the MAGEA gene family. The members of this family encode proteins with 50 to 80% sequence identity to each other. The promoters and first exons of the MAGEA genes show considerable variability, suggesting that the existence of this gene family enables the same function to be expressed under different transcriptional controls. The MAGEA genes are clustered at chromosomal location Xq28. They have been implicated in some hereditary disorders, such as dyskeratosis congenita. Two transcript variants encoding different isoforms have been found for this gene. [provided by RefSeq

Specifications

Antigen MAGEA11
Applications ELISA, Immunohistochemistry (PFA fixed), Western Blot
Classification Polyclonal
Conjugate Unconjugated
Description Rabbit polyclonal antibody raised against synthetic peptide of MAGEA11.
Dilution ELISA (1:1000) Western Blot (1:50-100) Immunohistochemistry (1:50-100) The optimal working dilution should be determined by the end user.
Formulation In PBS (0.09% sodium azide)
Gene MAGEA11
Gene Alias MAGE-11/MAGE11/MAGEA-11/MGC10511
Gene Symbols MAGEA11
Host Species Rabbit
Immunogen A synthetic peptide (conjugated with KLH) corresponding to N-terminus of human MAGEA11.
Purification Method Protein G purification
Quantity 400 μL
Regulatory Status RUO
Primary or Secondary Primary
Gene ID (Entrez) 4110
Target Species Human
Content And Storage Store at 4°C. For long term storage store at -20°C.
Aliquot to avoid repeated freezing and thawing.
Form Liquid
Show More Show Less

For Research Use Only

Product Title
Select an issue

By clicking Submit, you acknowledge that you may be contacted by Fisher Scientific in regards to the feedback you have provided in this form. We will not share your information for any other purposes. All contact information provided shall also be maintained in accordance with our Privacy Policy.