Learn More
Invitrogen™ RACK1 Polyclonal Antibody

Description
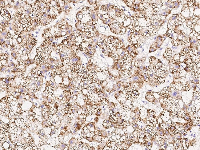
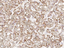
This product is preservative free. It is recommended to add sodium azide to avoid contamination (final concentration 0.05%-0.1%). This antibody has specificity for Human RACK1/GNB2L1.
Specifications
Specifications
| Antigen | RACK1 |
| Applications | Immunohistochemistry (Paraffin) |
| Classification | Polyclonal |
| Concentration | 1 mg/mL |
| Conjugate | Unconjugated |
| Formulation | PBS with no preservative |
| Gene | RACK1 |
| Gene Accession No. | P63244 |
| Gene Alias | 12-3; activated protein kinase C receptor; AL033335; Cell proliferation-inducing gene 21 protein; CG7111; CG7111-PA; CG7111-PB; CG7111-PC; CG7111-PD; Dmel\CG7111; Dmel_CG7111; dRack1; GB-like; gnb2l1; Gnb2-rs1; guanine nucleotide binding protein (G protein) beta polypeptide 2-like 1; guanine nucleotide binding protein (G protein), beta polypeptide 2 like 1; guanine nucleotide binding protein (G protein), beta polypeptide 2 like 1 sequence 1; guanine nucleotide binding protein (G protein), beta polypeptide 2-like 1; guanine nucleotide binding protein beta polypeptide 2-like 1; guanine nucleotide binding protein related; guanine nucleotide binding protein, beta 2, related sequence 1; guanine nucleotide binding protein, beta polypeptide 2-like 1; guanine nucleotide binding protein, beta-2, related sequence 1; guanine nucleotide-binding protein beta-subunit like protein; guanine nucleotide-binding protein subunit beta-2-like 1; Guanine nucleotide-binding protein subunit beta-2-like 1, N-terminally processed; Guanine nucleotide-binding protein subunit beta-like protein; Guanine nucleotide-binding protein subunit beta-like protein 12.3; H12.3; HLC7; HLC-7; Human lung cancer oncogene 7 protein; i173; lung cancer oncogene 7; OTTHUMP00000223870; OTTHUMP00000223891; OTTHUMP00000223893; OTTHUMP00000223900; OTTHUMP00000223901; OTTHUMP00000223902; OTTHUMP00000223930; OTTHUMP00000223931; p205; PIG21; proliferation-inducing gene 21; protein homologous to chicken B complex protein, guanine nucleotide binding; protein kinase C receptor; RACK; Rack1; rack-1; Rack1-PA; Rack1-PB; Rack1-PC; Rack1-PD; RE74715p; receptor for activated C kinase; receptor for activated C kinase 1; receptor for activated protein kinase C; receptor for activated protein kinase C1; receptor of activated PKC; receptor of activated protein C kinase 1; Receptor of activated protein C kinase 1, N-terminally processed; Receptor of activated protein kinase C; receptor of activated protein kinase C 1; Receptor of activated protein kinase C homolog; similar to mammalian RACK1; Small ribosomal subunit protein RACK1; wu:fb80d08; wu:fk65d12 |
| Gene Symbols | RACK1 |
| Show More |
Safety and Handling
By clicking Submit, you acknowledge that you may be contacted by Fisher Scientific in regards to the feedback you have provided in this form. We will not share your information for any other purposes. All contact information provided shall also be maintained in accordance with our Privacy Policy.