Learn More
Invitrogen™ RAD51 Polyclonal Antibody

Rabbit Polyclonal Antibody
Supplier: Invitrogen™ PA527195
Description
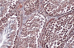
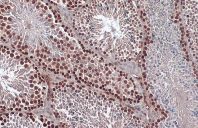
Recommended positive controls: 293T, A431, HeLa, HepG2, Neuro2A, C8D30, NIH-3T3, Raw264.7, C2C12, PC-12, Rat-2. Predicted reactivity: Mouse (98%), Rat (98%), Zebrafish (90%), Xenopus laevis (96%), Dog (98%), Pig (99%), Rabbit (97%), Chicken (95%), Bovine (98%). Store product as a concentrated solution. Centrifuge briefly prior to opening the vial.
RAD51 plays a critical role in homologous strand exchange, a key step in DNA repair through homologous recobination. It binds to single and double-stranded DNA and exhibits DNA-dependent ATPase activity. RAD51 catalyzes the recognition of homology and strand exchange between homologous DNA partners to form a joint molecule between a processed DNA break and the repair template. It binds to a single-stranded DNA in an ATP-dependent manner to form nucleoprotein filaments which are essential for the homology search and strand exchange. Mutations in the gene can results in breast cancer, mirror movements 2 and fanconi anemia.
Specifications
| RAD51 | |
| Polyclonal | |
| Unconjugated | |
| Rad51 | |
| AV304093; BRCA1/BRCA2-containing complex, subunit 5; BRCC5; DNA repair protein RAD51; DNA repair protein RAD51 homolog 1; DNA repair protein RAD51 homolog A; DNA repair protein rhp51; FANCR; homolog to S.cerevisiae; HRAD51; HsRad51; HsT16930; MGC128559 protein; MRMV2; MUT5; rad51; RAD51 homolog; RAD51 homolog (RecA homolog); RAD51 homolog (RecA homolog, E. coli); RAD51 homolog A; RAD51 recombinase; RAD51 recombinase L homeolog; rad51.1; rad51.L; rad51-1; RAD51A; rad51-a; rad51-b; Reca; RecA family recombinase Rhp51; RecA, E. coli, homolog of; RecA-like protein; recombinase RAD51; recombination protein A; RGD1563603; rhp51; SPAC644.14c; wu:fb38e12; xrad51; XRad51.1; YER095W; zgc:77754 | |
| Rabbit | |
| Antigen affinity chromatography | |
| RUO | |
| 19361, 406487, 499870, 5888 | |
| Store at 4°C short term. For long term storage, store at -20°C, avoiding freeze/thaw cycles. | |
| Liquid |
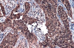
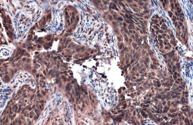
| Immunohistochemistry (Paraffin), Immunoprecipitation, Western Blot, Immunocytochemistry | |
| 0.14 mg/mL | |
| PBS with 1% BSA, 20% glycerol and 0.025% ProClin 300; pH 7 | |
| Q06609, Q08297 | |
| Rad51 | |
| Recombinant protein encompassing a sequence within the center region of human Rad51. The exact sequence is proprietary. | |
| 100 μL | |
| Primary | |
| Human, Mouse, Rat, Zebrafish | |
| Antibody | |
| IgG |
Safety and Handling
Your input is important to us. Please complete this form to provide feedback related to the content on this product.