Promotional price valid on web orders only. Your contract pricing may differ. Interested in signing up for a dedicated account number?
Learn More

RanBP3 Rabbit anti-Human, Mouse, Polyclonal, Bethyl Laboratories

Rabbit Polyclonal Antibody

Supplier:  Bethyl Laboratories, Inc A301520A

Encompass_Preferred

Catalog No. 50-156-0595


May include imposed supplier surcharges.
Only null left
Add to Cart

Description

Description

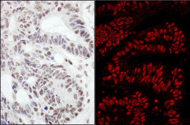
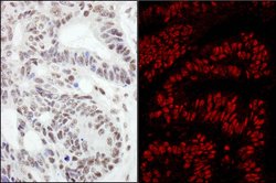
The recommended shelf life for this product is 1 year from date of receipt. Application Note: For IHC, epitope retrieval with citrate buffer pH 6.0 is recommended for FFPE tissue sections. Based on 100% sequence identity, this antibody is predicted to react with Orangutan

Ran binding protein 3 (RanBP3) is a member of Ran GTPase binding proteins that is located at the nuclear pore complex (NPC) and plays an essential role in the transport between cytoplasm and nucleus. RANPB3 is expessed as two spliced forms, RanBP3a and RanBP3b, both of which contains two FXFG motifs, characteristic of a subgroup of nucleoporins in addition to nuclear localization signal in the amino-terminal region (amino acid residues 40-57) and a unique acidic carboxyl terminus which is integral to its switch function.
Specifications

Specifications

RanBP3
Polyclonal
Unconjugated
RANBP3
Ran Binding Protein 3, RANB3
Rabbit
Antigen affinity chromatography
RUO
71810, 8498
4° C
Liquid
Immunofluorescence, Immunohistochemistry, Immunoprecipitation, Western Blot
0.2 mg/ml
TBS with 0.1% BSA and 0.09% sodium azide
Q9CT10, Q9H6Z4
RANBP3
Between 150 and 200
100 μL
Primary
Human, Mouse
Antibody
IgG
Product Suggestions

Product Suggestions

Videos
SDS
Documents

Documents

Product Certifications
Promotions

Promotions

Product Content Correction

The Fisher Scientific Encompass Program offers items which are not part of our distribution portfolio. These products typically do not have pictures or detailed descriptions. However, we are committed to improving your shopping experience. Please use the form below to provide feedback related to the content on this product.

Product Title

By clicking Submit, you acknowledge that you may be contacted by Fisher Scientific in regards to the feedback you have provided in this form. We will not share your information for any other purposes. All contact information provided shall also be maintained in accordance with our Privacy Policy.

Your feedback has been submitted: Thank you for helping us improve our website.