Learn More
Invitrogen™ RHBDL2 Polyclonal Antibody

Description
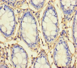
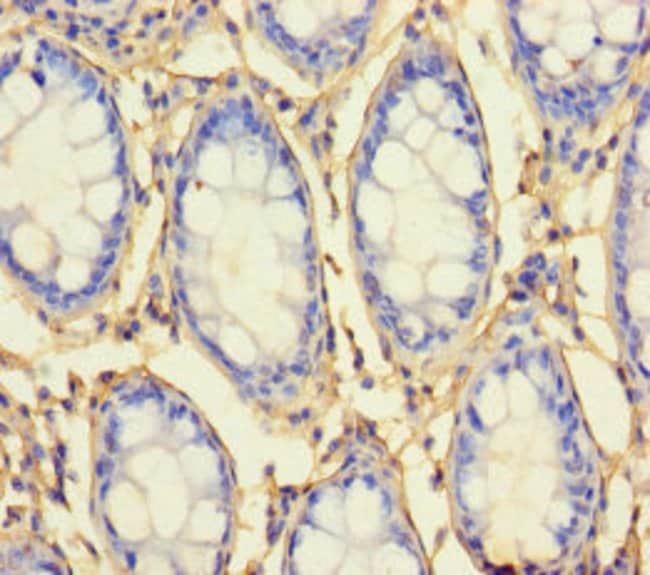
RHBDL2 Polyclonal Antibody for ELISA, IHC (P)
Specifications
Specifications
| Antigen | RHBDL2 |
| Applications | ELISA, Immunohistochemistry (Paraffin) |
| Classification | Polyclonal |
| Concentration | 0.45 mg/mL |
| Conjugate | Unconjugated |
| Formulation | PBS with 50% glycerol and 0.03% ProClin 300; pH 7.4 |
| Gene | RHBDL2 |
| Gene Accession No. | Q9NX52 |
| Gene Alias | 9130416B15; CTF; NTF; RHBDL2; rhomboid (veinlet, Drosophila)-like 2; rhomboid like 2; rhomboid protease 2; rhomboid, veinlet-like 2; rhomboid, veinlet-like 2 (Drosophila); rhomboid-like protein 2; Rhomboid-related protein 2; Rhomboid-related protein 2, C-terminal fragment; Rhomboid-related protein 2, N-terminal fragment; RRP2 |
| Gene Symbols | RHBDL2 |
| Show More |
Safety and Handling
By clicking Submit, you acknowledge that you may be contacted by Fisher Scientific in regards to the feedback you have provided in this form. We will not share your information for any other purposes. All contact information provided shall also be maintained in accordance with our Privacy Policy.