Learn More
Invitrogen™ RHOT1 Monoclonal Antibody (CL1095)

Description
Immunogen sequence: THIVDYSEAE QSDEQLHQEI SQANVICIVY AVNNKHSIDK VTSRWIPLIN ERTDKDSRLP LILVGNKSDL VEYSSMETIL PIMNQYTEIE Highest antigen sequence identity to the following orthologs: Mouse - 100%, Rat - 100%. Binds to an epitope located within the peptide sequence ERTDKDSRLP as determined by overlapping synthetic peptides.
Specifications
Specifications
| Antigen | RHOT1 |
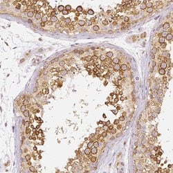
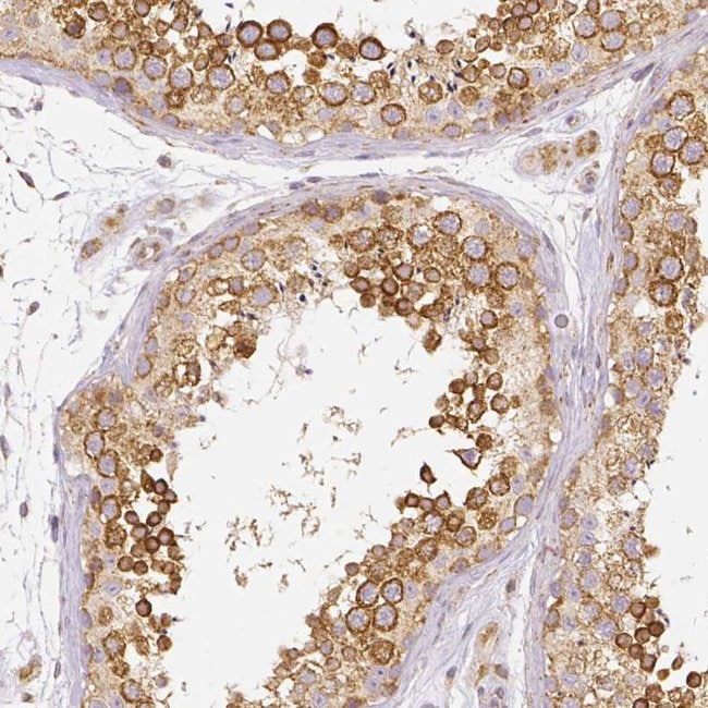
| Applications | Immunohistochemistry (Paraffin) |
| Classification | Monoclonal |
| Clone | CL1095 |
| Concentration | 0.7 mg/mL |
| Conjugate | Unconjugated |
| Formulation | PBS with 40% glycerol and 0.02% sodium azide; pH 7.2 |
| Gene | RHOT1 |
| Gene Accession No. | Q8IXI2 |
| Gene Alias | 2210403N23Rik; AA415293; AF244542; AI834919; Arht1; C430039G08Rik; LOW QUALITY PROTEIN: mitochondrial Rho GTPase 1; MGC128572 protein; Miro1; MIRO-1; mitochondrial Rho (MIRO) GTPase 1; mitochondrial Rho GTPase 1; rac-GTP binding protein-like protein; Rac-GTP-binding protein-like protein; ras homolog family member T1; Ras homolog gene family member T1; ras homolog gene family, member T1; Rhot1 |
| Show More |
By clicking Submit, you acknowledge that you may be contacted by Fisher Scientific in regards to the feedback you have provided in this form. We will not share your information for any other purposes. All contact information provided shall also be maintained in accordance with our Privacy Policy.