Promotional price valid on web orders only. Your contract pricing may differ. Interested in signing up for a dedicated account number?
Learn More
Learn More
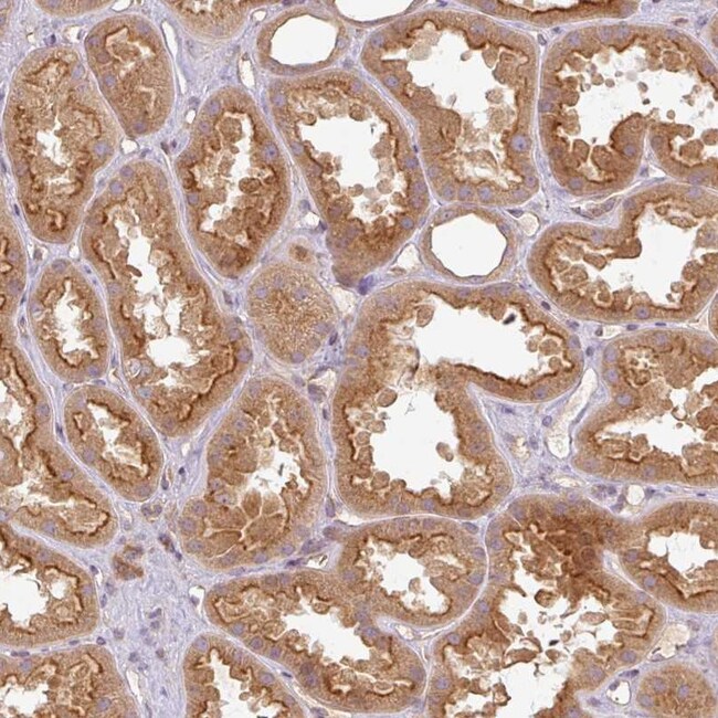
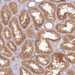
Invitrogen™ RNF31 Polyclonal Antibody

Rabbit Polyclonal Antibody
Supplier: Invitrogen™ PA561812
Description
Immunogen sequence: ELALSLLQET PRNYELGDVV EAVRHSQDRA FLRRLLAQEC AVCGWALPHN RMQALTSCEC TICPDCFRQH FTIALKEKHI TDMVCPACGR PDLTDDTQLL SYFSTLDIQL RESLEPDAYA LFHKKLTEGV Highest antigen sequence identity to the following orthologs: Mouse - 94%, Rat - 95%.
Lyn proto oncogene (Lcl/Yes related novel protein tyrosine kinase) is encoded by the Lyn gene located on chromosome 8 in humans and belongs to the Src family kinase. It is a non-receptor tyrosine kinase that acts as a mediator in transducing cellular signaling. The most well studied expression of Lyn is in hematopoietic cell types, both lymphoid and myeloid cells with exclusion in T lymphocytes. It has also been observed that Lyn plays diverse roles such as in regulation of B cell receptor signaling, mast cell signaling and Epithelial - Mesenchymal Transition (EMT).
Specifications
RNF31 | |
Polyclonal | |
Unconjugated | |
RNF31 | |
AL033293; BC031509; E3 ubiquitin-protein ligase RNF31; Flj10111; FLJ23501; HOIL-1-interacting protein; HOIP; mFLJ00217; MGC19975; Paul; putative Ariadne-like ubiquitin ligase; RING finger protein 31; RING-type E3 ubiquitin transferase RNF31; Rnf31; ZIBRA; Zinc in-between-RING-finger ubiquitin-associated domain protein | |
Rabbit | |
Antigen Affinity Chromatography | |
RUO | |
55072 | |
Store at 4°C short term. For long term storage, store at -20°C, avoiding freeze/thaw cycles. | |
Liquid |
Immunohistochemistry (Paraffin), Immunocytochemistry | |
0.2 mg/mL | |
PBS with 40% glycerol and 0.02% sodium azide; pH 7.2 | |
Q96EP0 | |
RNF31 | |
Recombinant protein corresponding to Human RNF31. Recombinant protein control fragment (Product #RP-89026). | |
100 μL | |
Primary | |
Human | |
Antibody | |
IgG |
Safety and Handling
WARNING: Cancer - www.P65Warnings.ca.gov
Product Content Correction
Your input is important to us. Please complete this form to provide feedback related to the content on this product.
Product Title
Spot an opportunity for improvement?Share a Content Correction